Babesia motasi
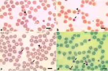
Intracellular stages of a Babesia motasi infection
Scientific classification Edit this classification
Domain: Eukaryota
Clade: Diaphoretickes
Clade: SAR
Clade: Alveolata
Phylum: Apicomplexa
Class: Aconoidasida
Order: Piroplasmida
Family: Babesiidae
Genus: Babesia
Species:
B. motasi
Binomial name
Babesia motasi
Wenyon, 1926

Babesia motasi is a species belonging to Alveolata and the family Babesiidae. In sheep causes babesiosis disease, called "sheep babesiosis". Babesia motasi is quite big protozoa. Length 2,5-5 µm, usually pear-shaped. Is rare in erythrocytes.

Bibliography

  • Furmaga, Stanisław (1983). Choroby pasożytnicze zwierząt domowych. Warsaw: Państwowe Wydawnictwo Rolnicze i Leśne. ISBN 83-09-00671-3.
  • Cąkała, S. (1981). Choroby owiec. Warsaw: Państwowe Wydawnictwo Rolnicze i Leśne. p. 328. ISBN 83-09-00473-7.
This article is issued from Wikipedia. The text is licensed under Creative Commons - Attribution - Sharealike. Additional terms may apply for the media files.