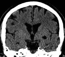
Coronal CT of the brain showing a choroidal fissure cyst

A choroidal fissure cyst is a cyst at the level of the choroidal fissure of the brain. They are usually asymptomatic and do not require treatment.

References

  • de Jong, L; Thewissen, L; van Loon, J; Van Calenbergh, F (May–Jun 2011). "Choroidal fissure cerebrospinal fluid-containing cysts: case series, anatomical consideration, and review of the literature". World Neurosurgery. 75 (5–6): 704–8. doi:10.1016/j.wneu.2010.12.056. PMID 21704940.


This article is issued from Wikipedia. The text is licensed under Creative Commons - Attribution - Sharealike. Additional terms may apply for the media files.