Pseudomeningocele
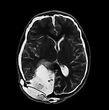
MRI of Pseudomeningocele in 8 years old male patient
SpecialtyNeurosurgery

A pseudomeningocele is an abnormal collection of cerebrospinal fluid (CSF) that communicates with the CSF space around the brain or spinal cord. In contrast to a meningocele, in which the fluid is surrounded and confined by dura mater, in a pseudomeningocele, the fluid has no surrounding membrane, but is contained in a cavity within the soft tissues.

Pseudomeningocele may result after brain surgery, spine surgery, or brachial plexus avulsion injury.

Treatment for pseudomeningocele is conservative or may involve neurosurgical repair.

References

This article is issued from Wikipedia. The text is licensed under Creative Commons - Attribution - Sharealike. Additional terms may apply for the media files.