< Radiation astronomy
Because a tachyon always moves faster than light, we cannot see it approaching. After a tachyon has passed nearby, we would be able to see two images of it, appearing and departing in opposite directions. Credit: TxAlien.

Faster-than-light (also superluminal or FTL) communications and travel refer to the propagation of information or matter faster than the speed of light. Under the special theory of relativity, a particle (that has rest mass) with subluminal velocity needs infinite energy to accelerate to the speed of light, although special relativity does not forbid the existence of particles that travel faster than light at all times (tachyons).

On the other hand, what some physicists refer to as "apparent" or "effective" FTL[1][2][3][4] depends on the hypothesis that unusually distorted regions of spacetime might permit matter to reach distant locations in less time than light could in normal or undistorted spacetime. Although according to current theories matter is still required to travel subluminally with respect to the locally distorted spacetime region, apparent FTL is not excluded by general relativity.

Apparent superluminal motion is observed in many radio galaxies, blazars, quasars and recently also in microquasars. The effect was [apparently] predicted before it was observed by Martin Rees and can be explained as an optical illusion caused by the object partly moving in the direction of the observer,[5] when the speed calculations assume it does not. The phenomenon does not contradict the theory of special relativity. Interestingly, corrected calculations show these objects have velocities close to the speed of light (relative to our reference frame). They are the first examples of large amounts of mass moving at close to the speed of light.[6] Earth-bound laboratories have only been able to accelerate small numbers of elementary particles to such speeds.

Notations

Notation: let the symbol VLBI stand for Very Long Baseline Interferometry.

Superluminals

Def. having a speed greater than light is called a superluminal.

Def. having a speed equal to that of light is called a luminal.

Def. having a speed less than light is called a subluminal.

Here's a theoretical definition:

Def. having an acceleration (or deceleration) that produces speeds which cross the speed of light is called a transluminal.

"The waves cannot accelerate particles to transluminal velocities."[7]

Mediums

Def. the nature of the surrounding environment is called a medium.

Cherenkovs

In the diagram at top right, the black line is the shock wave of Cherenkov radiation, shown only in one moment of time. This double image effect is most prominent for an observer located directly in the path of a superluminal object (in this example a sphere, shown in grey). The right hand bluish shape is the image formed by the blue-doppler shifted light arriving at the observer—who is located at the apex of the black Cherenkov lines—from the sphere as it approaches. The left-hand reddish image is formed from red-shifted light that leaves the sphere after it passes the observer. Because the object arrives before the light, the observer sees nothing until the sphere starts to pass the observer, after which the image-as-seen-by-the-observer splits into two—one of the arriving sphere (to the right) and one of the departing sphere (to the left).

Magnetic Cherenkov radiation

"There is in fact also “magnetic” Cherenkov radiation from a pure magnetic dipole having no net electric charge"[8].

Askaryan effect

The Askaryan effect is the phenomenon whereby a particle traveling faster than the phase velocity of light in a dense dielectric (such as salt, ice or the lunar regolith) produces a shower of secondary charged particles which contain a charge anisotropy and thus emits a cone of coherent radiation in the radio or microwave part of the electromagnetic spectrum. It is similar to the Cherenkov effect.

Theoretical superluminal astronomy

"The expansion of the universe causes distant galaxies to recede from us faster than the speed of light, if comoving distance and cosmological time are used to calculate the speeds of these galaxies. However, in general relativity, velocity is a local notion, so velocity calculated using comoving coordinates does not have any simple relation to velocity calculated locally[9] (see comoving distance for a discussion of different notions of 'velocity' in cosmology). Rules that apply to relative velocities in special relativity, such as the rule that relative velocities cannot increase past the speed of light, do not apply to relative velocities in comoving coordinates, which are often described in terms of the "expansion of space" between galaxies. This expansion rate is thought to have been at its peak during the inflationary epoch thought to have occurred in a tiny fraction of the second after the Big Bang (models suggest the period would have been from around 10−36 seconds after the Big Bang to around 10−33 seconds), when the universe may have rapidly expanded by a factor of around 1020 to 1030.[10]

There are many galaxies visible in telescopes with red shift numbers of 1.4 or higher. All of these are currently traveling away from us at speeds greater than the speed of light. Because the Hubble parameter is decreasing with time, there can actually be cases where a galaxy that is receding from us faster than light does manage to emit a signal which reaches us eventually.[11][12] However, because the expansion of the universe is accelerating, it is projected that most galaxies will eventually cross a type of cosmological event horizon where any light they emit past that point will never be able to reach us at any time in the infinite future,[13] because the light never reaches a point where its "peculiar velocity" towards us exceeds the expansion velocity away from us (these two notions of velocity are also discussed in uses of the proper distance). The current distance to this cosmological event horizon is about 16 billion light-years, meaning that a signal from an event happening at present would eventually be able to reach us in the future if the event was less than 16 billion light-years away, but the signal would never reach us if the event was more than 16 billion light-years away.[12]

“Observed variations concerning the brightness distributions in four extragalactic radio sources were so rapid that the apparent transverse velocity of expansion is greater than the velocity of light.”[14]

“Maps of the radio structure of the quasar 3C273 provide evidence of a superluminal expansion during the period 1977-1980. The superluminal expansion might be attributed to the movement of a single knot away from the nucleus along the jet. The apparent constant velocity of 10 times the speed of light is an important constraint on theories of apparent superluminal expansion.”[15]

Sources

This is a radio image of the source 3C 380. Credit: A. G. Polatidis and P. N. Wilkinson.

"The quasar 3C 380 (B1828+487) [at right] has a complicated, convoluted structure on kiloparsec scales which is consistent with it being a moderate-sized classical double source seen approximately end on [...] 6 cm images from 1982.9 to 1993.4 (the 1990.8 image appears [at right] reveal a highly complex, filamentary, structure which exhibits rapid local brightness changes over its entire ~ 100 pc length. Motion [occurs] in three regions of the jet

  1. C12, at a distance [...] from the core C appears to move outwards with a velocity of [0.85 c,]
  2. The bright component A, [...] moves with an apparent velocity [of 4.4±0.5 c, and]
  3. the peak of emission in the region F [...] appears to move with an apparent velocity of [6.0±0.3 c.]"[16]

For "most of the period between 1982.9 and 1993.4 A moved outwards from C along P.A. 330±1° with little change in the speed or the direction of the apparent velocity vector. In 1988.4 however, A had doubled in brightness and apparently became dissociated from the underlying jet pattern appearing edge-brightened towards the East. This change was accompanied by an apparent deceleration by almost 50%. Between 1988.4 and 1990.8 A apparently accelerated again but its brightness barely changed and by 1990.8 its brightness peak had shifted back to its "standard" P.A. and continued in this direction through 1992.7 and 1993.4 with no significant changes in the velocity and only a slight decrease in flux density. The apparent acceleration from ≃ [0.85 c] at a few pc to ≃ [6.0 c] at [100 pc] is similar to that seen in the best-studied superluminal source 3C 345".[16]

There "are gross changes in the brightness structure of the jet taking place very quickly. For example in three epochs (1988.2, 1990.8 and 1993.4) the jet appears to be bifurcated or edge-brightened in regions B and D while in others it is center-brightened. [...] the rapid brightness changes may be due to phase effects at the intersection of these shocks".[16]

Objects

Emission features from 3C 345 repeatedly appear off the core and follow fairly consistent nonradial paths. Credit: Zensus et al. (1995 ApJ 443, 35.

"Tracking the features within small-scale jets has revealed interesting complications. The paths are not always radial to the nucleus, usually taken as the source with the flattest spectrum in ambiguous cases. This is based on the general principle that synchrotron spectra are flattened at lower frequencies by self-absorption, so the densest plasma will have a flat or inverted spectrum. An interesting case is 3C 345 [at right], in which emission features repeatedly appear off the core and follow fairly consistent nonradial paths. [...] a new component appears in late 1985, brightens, and moves outward changing its relative position angle in the process".[17]

Electromagnetics

The electric vectors of PKS0521-36 show clear structure and alignment. Credit: Keel.

"The emission of electromagnetic radiation from a superluminal (faster-than-light in vacuo) charged particle [is such] that no physical principle forbids emission by extended, massless superluminal sources. A polarization current density (dP/dt; see Maxwell's fourth equation) can provide such a source; the individual charged particles creating the polarization do not move faster than c, the speed of light, and yet it is relatively trivial to make the envelope of the polarization current density to do so."[18]

The "emitted radiation has many unusual characteristics, including: (i) the intensity of some components decays as the inverse of the distance from the source, rather than as 1/(distance)2 (i.e. these components are non-spherically-decaying); (ii) the emission is tightly beamed, the exact direction of the beam depending on the source speed; and (iii) the emission contains very high frequencies not present in the synthesis of the source. Note that the non-spherically decaying components of the radiation do not violate energy conservation. They result from the reception, during a short time period, of radiation emitted over a considerably longer period of (retarded) source time; their strong electromagnetic fields are compensated by weak fields elsewhere [1]."[18]

The "emission occupies a very small polar angular width of order 0.8 degrees in the far field. Based on these findings, we suggest that a superluminal source could act as a highly directional transmitter of MHz or THz signals over very long distances."[18]

"The magnetic field is well-ordered in many jets, as shown by polarization measurements. Synchrotron radiation can be very highly polarized (50%) if the field is globally ordered, and some sources [approach] this level. The electric vectors show clear structure and alignment; an especially common pattern is for the field lines to be along the jet in the inner portions and transition to an azimuthal configuration farther out. This is seen in [PKS0521-36 at 2 cm]."[17]

Weak forces

"[C]harged particles moving faster than light through the vacuum emit Cherenkov radiation. How can a particle move faster than light? The weak speed of a charged particle can exceed the speed of light."[19]

Emissions

This composite spectrum of the archetypal Seyfert NGC 4151 shows the wide variety of emission lines present. Credit: Bill Keel et al. 2003.

"Seyfert galaxies were originally noted for the strength and broadening of their emission lines, and as a class were later characterized by the high ionization states of many of the atomic and ionized species producing these lines. This composite spectrum of the archetypal Seyfert NGC 4151 shows the wide variety of emission lines present, from the Lyman limit at 912 A to the mid-infrared at about 9 microns. It uses spectra taken with apertures several arcseconds in size, so as to reproduce the usual spectrum mixing broad and narrow-line components. From 912-1800 A, the data come from the Shuttle-borne Hopkins Ultraviolet Telescope; from 1800-3200 A, from the mean of three measurements by the International Ultraviolet Explorer (IUE) taken at similar brightness levels; from 3200-4000A, from an observation at Kitt Peak National Observatory, with the continuum rescaled to match the adjacent spectra; from 4000-8000 A, a CCD observation obtained at the Lick Observatory 3-m Shane telescope by Alexei Filippenko; from 8000 A to 1 microns, an observation using the same telescope by Donald Osterbrock and collaborators, carefully corrected for atmospheric absorption; from 0.9-2.4 microns, measurements by Rodger Thompson at Steward Observatory's 2,3-m Bok telescope, and on into the infrared, from the Infrared Space Observatory provided by Eckhard Sturm. Because NGC 4151 is irregularly variable, some of the spectral components have been scaled to make the various pieces match for this presentation (so the relative strengths of lines in very different spectral regions may not be accurate)."[20]

"Some of the most prominent emission lines are marked for reference. The permitted lines - those that can be produced at high densities by astronomical standards - show both brad and narrow components. The strongest of these are the hydrogen recombination lines, such as Lyman alpha at 1216 A, H-beta at 4861, and H-alpha at 6563, plus the strong ultraviolet lines of C IV at 1549 and Mg II at 2800. Other features produced only by very rarefied gas at densities of 1000 atoms per cubic centimeter or so - the forbidden lines, denoted by brackets - arise in regions with less velocity structure and are narrower. Some strong examples are [O III] at 4959 and 5007 A, [O II] at 3727, [Ne V] at 3426, and [S III] at 9060 and 9532."[20]

"The spectra of active galactic nuclei are noteworthy in showing species with a large range in ionization at once, from neutral ions such as [O I] and [N I] to highly ionized cases such as [Ne V] and [O VI]. Even hot stars such as light up gaseous nebulae in our galaxy cannot ionize gas as highly as these ions require, so that both a strong source of hard radiation and a wide range in gas density must be present to see such spectra."[20]

Absorptions

"NGC 4151 is a bit unusual in showing strong absorption in several lines, especially Lyman alpha and C IV. The absorption is blueshifted with respect to the line centers, so that it arises in some kind of wind or other gaseous outflow."[20]

Meteors

"[S]uperluminal motion for each of [two] knots, [in the BL Lacertae object OJ 287 is suggested] at an angular speed of 0.28 mas yr-1, corresponding to βapp = vapp/c ≃ 3.3h-1 (for z = 0.306, H0 = 100h km s-1 Mpc-1, and q0 = 0.5)."[21] "Superluminal motion for each knot, with an apparent velocity ~3.3h-1c, is suggested by the polarization data. The polarizations of C [the core] and K2 [knot two] changed markedly over the year between observations."[21]

Subsequent VLBI "observations of the total intensity structure of the BL Lacertae object OJ 287 have been made with an angular resolution of 7 x 1 mas at λ6 cm. The source consists of a core and three knots in a VLBI jet at position angle θ ≃ -100°. Previously suspected superluminal motion in the outer two knots at βapph ≃ 3 ... has been confirmed."[22]

For the speeds in units of c, β = v/c, "[i]n the usual interpretation of superluminal motion, the apparent velocity is given by

where βjetc is the jet velocity, and the jet makes an angle Φ to the line of sight."[22]

In April 2010, radio astronomers working at the Jodrell Bank Observatory of the University of Manchester reported an unknown object in M82. The object has started sending out radio waves, and the emission does not look like anything seen anywhere in the universe before.[23] There have been several theories about the nature of this unknown object, but currently no theory entirely fits the observed data.[23] It has been suggested that the object could be a "micro quasar", having very high radio luminosity yet low X-ray luminosity, and being fairly stable.[24] However, all known microquasars produce large quantities of X-rays, whereas the object's X-ray flux is below the measurement threshold.[23] The object is located at several arcseconds from the center of M82. It has an apparent superluminal motion of 4 times the speed of light relative to the galaxy center.[25]

Electrons

5-GHz radio image shows Cygnus A (3C405). Credit: Martin J. Hardcastle.{{free media}}
Cygnus A is an excellent example of the Fanaroff-Riley (FR) type II radio sources. Credit: Bob Fosbury, HST/Frazer Owen, 0.9-m telescope, Kitt Peak National Observatory/Perley, Dreher, and Cowan 1984, NRAO.

Cygnus A (Third Cambridge Catalogue of Radio Sources 3C 405) is a radio galaxy, and one of the strongest radio sources in the sky, along with Cassiopeia A, and Puppis A were the first "radio stars" identified with an optical source; of these, Cygnus A became the first radio galaxy; the other two being nebulae inside the Milky Way.[26] It is a double source,[27] contains an active galactic nucleus and a supermassive black hole at the core with a mass of Lua error in Module:Gapnum at line 49: attempt to concatenate a nil value.±0.7 solar mass .[28]

"Many objects with jets, especially the powerful FR II radio sources with long and highly collimated jets, show hot spots - compact enhancements in brightness of the lobes. Cygnus A [at right] is a prime example. These may in turn have internal structure, and often have the flattest spectra (thus most energetic particle populations) in the extended lobes. They have been pictures as encounter surfaces between the jet flows and a mostly unseen surrounding medium, with compression of the magnetic field occurring and thus vastly increased emissivity. Some (such as Pictor A) have such high-energy electron populations that sychrotron emission continues through the optical into the X-ray regime."[17]

Cygnus A "is the most powerful radio galaxy on our corner of the Universe, used as a point of departure for studying radio galaxies at great distances. At a redshift z=0.0565 (distance of about 211 Mpc or 700 million light-years), its nature remains mysterious enough. The first photographs of Cygnus A showed two clumps of luminous material, which led [to the speculation] that the radio emission was somehow linked to a galaxy collision. [Or,] a poorly resolved version of Centaurus A, bisected by a thick dust lane. The HST image shown as an inset [in the image at right] reveals much detail, but doesn't quite clear the matter up. We see dust and an odd Z-shaped pattern. Much of this light in some regions comes not from stars, but from gas ionized by the nucleus. This is a narrow-line radio galaxy, but infrared and polarization measurements show that from some directions it would appear as a broad-line object and perhaps as a quasar, so that there is plenty of radiation in some directions to light up the gas."[29]

"Cygnus A is an excellent example of the Fanaroff-Riley (FR) type II radio sources, characterized by faint, very narrow jets, distinct lobes, and clear hot spots at the outer edges of the lobes, often where the jets intersect the outer edges. These are in general more powerful radio sources than the FR I objects [...], with the difference being frequently attributed to faster (relativistic?) motion of the jet material in the stronger FR II sources. The radio/optical overlay highlights the extent of the radio source beyond the central galaxy, extending 140 kpc (500,000 light-years) if we see it sideways."[29]

Radio images show two jets protruding in opposite directions from the galaxy's center, extending many times the width of the portion of the host galaxy which emits radiation in the visible.[30] At the ends of the jets are two lobes with "hot spots" of more intense radiation at their edges, formed when material from the jets collides with the surrounding intergalactic medium.[31]

In 2016, a radio transient was discovered 460 parsecs away from the center of Cygnus A, between 1989 and 2016, the object, cospatial with a previously-known infrared source, exhibited at least an eightfold increase in radio flux density, with comparable luminosity to the brightest known supernova, but, the rate of brightening is unknown, the object has remained at a relatively constant flux density since its discovery, consistent with a second supermassive black hole orbiting the primary object, with the secondary having undergone a rapid accretion rate increase, where the inferred orbital timescale is of the same order as the activity of the primary source, suggesting the secondary may be perturbing the primary and causing the outflows.[32]

Neutrinos

"Because neutrinos are electrically neutral, conventional Cherenkov radiation of superluminal neutrinos does not arise or is otherwise weakened. However neutrinos do carry electroweak charge and ... may emit Cherenkov-like radiation via weak interactions when traveling at superluminal speeds."[33]

"[S]uperluminal neutrinos may lose energy rapidly via the bremsstrahlung [Cherenkov radiation] of electron-positron pairs "[34]

Assumption:

"muon neutrinos with energies of order tens of GeV travel at superluminal velocity."[34]

For "all cases of superluminal propagation, certain otherwise forbidden processes are kinematically permitted, even in vacuum."[34]

Consider

[34]

"These processes cause superluminal neutrinos to lose energy as they propagate and ... process (c) places a severe constraint upon potentially superluminal neutrino velocities. ... Process (c), pair bremsstrahlung, proceeds through the neutral current weak interaction."[34]

"Throughout the shower development, the electrons and positrons which travel faster than the speed of light in the air emit Cherenkov radiation."[35]

"High energy processes such as Compton, Bhabha, and Moller scattering, along with positron annihilation rapidly lead to a ~20% negative charge asymmetry in the electron-photon part of a cascade ... initiated by a ... 100 PeV neutrino"[36].

Gamma rays

Tachyonic γ rays have not been observed directly as of 2007.[37]

"The tachyonic spectral densities generated by ultra-relativistic electrons in uniform motion are fitted to the high-energy spectra of Galactic supernova remnants, such as RX J0852.0−4622 and the pulsar wind nebulae in G0.9+0.1 and MSH 15-52. ... Tachyonic cascade spectra are quite capable of generating the spectral curvature seen ... Estimates on the electron/proton populations generating the tachyon flux are obtained from the spectral fits"[37]

"Tachyonic radiation implies superluminal signal transfer [1-7], the energy quanta propagating faster than light in vacuum, in contrast to rotating superluminal light sources emitting vacuum Cherenkov radiation [8, 9]."[38]

"The existence of superluminal energy transfer has not been established so far, and one may ask why. There is the possibility that superluminal quanta just do not exist, the vacuum speed of light being the definitive upper bound. There is another explanation, the interaction of superluminal radiation with matter is very small, the quotient of tachyonic and electric fine-structure constants being q2/e2 ≈ 1.4 x 10-11 [5], and therefore superluminal quanta are hard to detect."[38]

X-rays

There is a cut-off frequency above which the equation cannot be satisfied. Since the refractive index is a function of frequency (and hence wavelength), the intensity does not continue increasing at ever shorter wavelengths even for ultra-relativistic particles (where v/c approaches 1). At X-ray frequencies, the refractive index becomes less than unity (note that in media the phase velocity may exceed c without violating relativity) and hence no X-ray emission (or shorter wavelength emissions such as gamma rays) would be observed. However, X-rays can be generated at special frequencies just below those corresponding to core electronic transitions in a material, as the index of refraction is often greater than 1 just below a resonance frequency (see Kramers-Kronig relation and anomalous dispersion).

Opticals

Measurements of the polarization of the light near the nucleus of NGC 1068 provided strong evidence that it actually contains a type 1 nucleus. Credit: Bill Keel, Jack Gallimore, VLBI, MERLIN, HST.

"Measurements of the polarization of the light near the nucleus of NGC 1068, a nearby and prototypical type 2 Seyfert, provided strong evidence that it actually contains a type 1 nucleus which is blocked from our direct view by an obscuring ring or torus of material. The nucleus produces a radio jet at right angles to this hypothesized torus, which must lie almost at right angles to the galaxy's disk plane. Recent VLBI observations may have detected this torus, as shown in this montage. HST images are used to show the galaxy as a whole and the conelike illumination pattern of highly ionized gas which must see the nucleus directly, then the radio jet and finally a tiny structure which has the right size, orientation, and temperature to be the obscuring disk. If this in fact the obscuring material, this is an important piece of evidence for the unified scheme for Seyfert galaxies. This is simply the notion that many type 2 Seyferts would be type 1 objects if we could see them from the proper direction, nearly along the axis of the torus so that our view is not blocked. These special directions are often marked by both radio jets and cones of intense radiation, which we see either as they ionize ambient gas or are reflected from clouds rich in dust that happen to lie within the cones."[39]

Blues

Cherenkov radiation glows in the core of the Advanced Test Reactor. Credit: Matt Howard.

The frequency spectrum of Cherenkov radiation by a particle is given by the Frank–Tamm formula. Unlike fluorescence or emission spectra that have characteristic spectral peaks, Cherenkov radiation is continuous. Around the visible spectrum, the relative intensity per unit frequency is approximately proportional to the frequency. That is, higher frequencies (shorter wavelengths) are more intense in Cherenkov radiation. This is why visible Cherenkov radiation is observed to be brilliant blue. In fact, most Cherenkov radiation is in the ultraviolet spectrum—it is only with sufficiently accelerated charges that it even becomes visible; the sensitivity of the human eye peaks at green, and is very low in the violet portion of the spectrum.

At right is an example of Cherenkov radiation. "Cherenkov radiation (also spelled Čerenkov) is electromagnetic radiation emitted when a charged particle (such as an electron) passes through a dielectric medium at a speed greater than the phase velocity of light in that medium.

Reds

"[M]ultiwavelength observations of the superluminal X-ray transient GRO J1655-40 [have been performed] during and following the prominent hard X-ray outburst of 1995 March-April."[40]

"The red color of the optical counterpart with E(B - V) = +1.3 ± 0.2, as recently determined by deep 200 nm Hubble Space Telescope (HST) observations in 1995 May (Horne et al. 1996), indicates significant absorption in the direction of GRO J1655-40 (see also B95a). Spectroscopic CTIO observations of GRO J1655-40 carried out in early 1995 May revealed Doppler-shifted high-excitation emission lines superposed on an F-type or early G-type stellar absorption spectrum (Bailyn et al. 1995b, hereafter B95b)."[40]

Radios

"Historically, the connection between radio loud [RLQs] and radio quiet quasars [RQQs] has been unclear, but new studies are pointing toward a similarity in the physical mechanisms of core radio emission in the two classes. Both classes appear to have similar core spectral index distributions, including or inverted cores in RQQs, both have compact VLBI cores, and both appear to be about equally time-variable. This suggests that RQQs possess beamed, relativistic jets like those in RLQs. If RQQs are really lower power cousins of RLQs, the jets in RQQs should show superluminal motions. With the advent of very high sensitivity VLBI using the High Sensitivity Array, it should now be possible to detect the parsec-scale jets in RQQs and measure component speeds."[41]

GW170817

Proper motion of the radio counterpart of GW170817 is displayed. Credit: K. P. Mooley, A. T. Deller, O. Gottlieb, E. Nakar, G. Hallinan, S. Bourke, D. A. Frail, A. Horesh, A. Corsi & K. Hotokezaka.{{fairuse}}

"The binary neutron-star merger GW1708171 was accompanied by radiation across the electromagnetic spectrum2 and localized2 to the galaxy NGC 4993 at a distance3 of about 41 megaparsecs from Earth. The radio and X-ray afterglows of GW170817 exhibited delayed onset4–7, a gradual increase8 in the emission with time (proportional to t0.8) to a peak about 150 days after the merger event8, followed by a relatively rapid decline9,10."[42]

The "compact radio source associated with GW170817 exhibits superluminal apparent motion between 75 days and 230 days after the merger event. This measurement breaks the degeneracy between the choked- and successful-jet cocoon models and indicates that, although the early-time radio emission was powered by a wide-angle outflow8 (a cocoon), the late-time emission was most probably dominated by an energetic and narrowly collimated jet (with an opening angle of less than five degrees) and observed from a viewing angle of about 20 degrees. The imaging of a collimated relativistic outflow emerging from GW170817 adds substantial weight to the evidence linking binary neutron-star mergers and short γ-ray bursts."[42]

Very "long-baseline interferometry (VLBI) observations with the High Sensitivity Array (HSA)—which consists of the Very Long Baseline Array (VLBA), the Karl G. Jansky Very Large Array (VLA) and the Robert C. Byrd Green Bank Telescope (GBT)—75 and 230 days after the GW170817 merger event [...] indicate that the centroid position of the radio counterpart of GW170817 changed from a right ascension of RA = 13 h 09 min 48.068638(8) s and declination of dec. = −23° 22′ 53.3909(4)′′ to RA = 13 h 09 m in 48.068831(11) s and dec. = −23° 22′ 53.3907(4)′′ between these epochs (1σ uncertainties in the last digits are given in parentheses). This implies an positional offset between the two observations of 2.67±0.19±0.21 mas in RA and 0.2±0.6±0.7 mas in dec. (1σ uncertainties; statistical and systematic, respectively; [...]). This corresponds to a mean apparent velocity of the source of the radio counterpart along the plane of the sky of βapp = 4.1 ± 0.5, where βapp is in units of the speed of light, c (1σ, including the uncertainty in the source distance). [...] Our VLBI data are consistent with the source being unresolved at both day 75 and day 230. Given the VLBI angular resolution and the signal-to-noise ratio of the detection, this puts an upper limit on the size of the source in both epochs of about 1 mas (0.2 pc at the distance of NGC 4993) in the direction parallel to its motion and 10 mas perpendicular to its motion [...]."[42]

"Although superluminal motion is seen frequently in active galactic nuclei and micro-quasars, it is extremely rare in extragalactic explosive transients. Superluminal motion has been measured in only one such transient: the long-duration γ-ray burst GRB 03032924. GRB 030329 had a measured superluminal expansion of βapp ≈ 3–5, but no proper motion, whereas GW170817 has measured proper motion, but no expansion. Although both were relativistic events of comparable energies, these differences suggest different geometries and/or viewing angles."[42]

Gaseous objects

These images both depict the same area - the region of ionized gas around the nucleus of the bright Seyfert galaxy NGC 4151. Credit: Hutchings et al. in Astrophysical Journal Letters 492, L115 (1998).

"These images [at right] both depict the same area - the region of ionized gas around the nucleus of the bright Seyfert galaxy NGC 4151. In one case, the observations used a narrow-band filter to isolate the bright gaseous emission of doubly ionized oxygen - [O III] - at 5007 Angstroms, while the other used a diffraction grating to spread the light at each point into a spectrum. The color coding was used to indicate this and to show the direction of spectral dispersion, though the wavelength range spanned by the observation would not produce a vivid color range visually. The brilliant nucleus is spread into a horizontal line, producing radiation at all wavelengths in the form of a continuum. In the dispersed image, a single cloud of gas with small internal motions will have a single Doppler shift, and will have the same appearance as in the filtered image, perhaps with a position shift due to its overall Doppler shift with respect to the average. However, a parcel of gas with a large velocity dispersion, such as one might see in a turbulent situation or near a shock front, will be preferentially smeared along the wavelength direction (left-right in this depiction). Careful comparison of these two images shows that there are many such regions, mostly located in the locations close to where the galaxy's small radio jets emerge from the nucleus. These radio jets lie approximately along the axes of the twin emission-line cones. This connection between rapid local gas motions and the emerging jets has been interpreted as evidence that much of the "turbulent" motion in the outer regions of Seyfert nuclei is powered by the radio jets, as they transfer energy to their surroundings."[43]

"The emission-line image shows clearly the biconical region where most of the ionized gas appears, in support of a `beaming picture" for the various kinds of Seyfert nuclei. It poses an interesting puzzle, however, because to get this plan view we must be outside the cones, but we see the broad-line region and thus classify NGC 4151 as a type 1 Seyfert - in fact, it was the prototype of the class. Thus, there are directions outside these cones where we can have a fairly clear view of the core, so the simple mental picture of a solid torus and clear views along its axis cannot be taken quite literally."[43]

Hydrogen

"Superluminal speeds are associated with a phenomenon known as anomalous dispersion, whereby the refractive index of a medium (such as an atomic gas) increases with the wavelength of transmitted light. When a light pulse – which is comprised of a group of light waves at a number of different wavelengths – passes through such a medium, its group velocity can be boosted to beyond the velocity of its constituent waves."[44]

"As pulsars spin, they emit a rotating beam of radiation that flashes past distant observers at regular intervals like a lighthouse beacon."[44]

"Several factors are known to affect the pulses. Neutral hydrogen can absorb them, free electrons can scatter them and an additional magnetic field can rotate their polarization. Plasma in the interstellar medium also causes dispersion, which means pulses with longer wavelengths are affected by a smaller refractive index."[44]

"Using the Arecibo Observatory in Puerto Rico, they took radio data of the pulsar PSR B1937+21 at 1420.4 MHz with a 1.5 MHz bandwidth for three days. Oddly, those pulses close to the center value arrived earlier than would be expected given the pulsar's normal timing, therefore appearing to have traveled faster than the speed of light."[44]

"The cause of the anomalous dispersion for these pulses [...] is the resonance of neutral hydrogen, which lies at 1420.4 MHz."[44]

Interstellar medium

This image shows a pair of objects ejected from GRS 1915+105 moving apart at an apparently superluminal speed. Credit: Felix Mirabe, Saclay, France, and Luis Rodriguez, the National Autonomous University, Mexico City.
In the time-lapse sequence, micro-quasar GRS1915 expels bubbles of hot gas in spectacular jets. Credit: R. Spencer (U. Manchester) et al., MERLIN, Jodrell Bank.

"In far-distant quasars and galaxies, millions or even billions of light-years away, the gravitational energy of supermassive black holes is capable of accelerating "jets" of subatomic particles to speeds approaching that of light. The VLA has observed such jets for many years. In some of these jets, blobs of material have been seen to move at apparent speeds greater than that of light -- a phenomenon called superluminal motion. The apparent faster-than-light motion actually is an illusion seen when a jet of material is travelling close to -- but below -- the speed of light and directed toward Earth."[45]

"In the Spring of 1994, Felix Mirabel from Saclay, France, and Luis Rodriguez, from the National Autonomous University in Mexico City, were observing an X-ray emitting object called GRS 1915+105, which had just shown an outburst of radio emission. This object was known to be about 40,000 light-years away, within our own Milky Way Galaxy -- in our own cosmic neighborhood. Their time series of VLA observations, seen in this image, showed that a pair of objects ejected from GRS 1915+105 were moving apart at an apparently superluminal speed. This was the first time that superluminal motion had been detected in our own Galaxy."[45]

"This surprising result showed that the supermassive black holes at the centers of galaxies -- black holes millions of times more massive than the Sun -- have smaller counterparts capable of producing similar jet ejections. GRS 1915+105 is thought to be a double-star system in which one of the components is a black hole or neutron star only a few times the mass of the Sun. The more-massive object is pulling material from its stellar companion. The material circles the massive object in an accretion disk before being pulled into it. Friction in the accretion disk creates temperatures hot enough that the material emits X-rays, and magnetic processes are believed to accelerate the material in the jets."[45]

"Since Mirabel and Rodriguez discovered the superluminal motion in GRS 1915+105, several other Galactic "microquasars" have been discovered and studied with the VLA and the VLBA. In 1999, NRAO astronomer Robert Hjellming turned the VLA toward a bursting microquasar within 24 hours of a reported X-ray outburst. Working with X-ray observers Donald Smith and Ronald Remillard of MIT, Hellming found that this object is a microquasar only 1,600 light-years away, making it the closest black hole to Earth yet discovered."[45]

"Microquasars within our own Galaxy, because they are closer and thus easier to study, have become invaluable "laboratories" for revealing the physical processes that produce superfast jets of material. For discovering this new class of celestial object, Mirabel and Rodriguez received the prestigous Bruno Rossi Prize of the American Astronomical Society in 1997."[45]

"On the far side of our Galaxy, gas clouds explode away from a small black hole. This might seem peculiar, as black holes are supposed to attract matter. But material falling toward a black hole collides and heats up, creating an environment similar to a quasar that is far from stable. In the [at second right] time-lapse sequence, micro-quasar GRS1915 expels bubbles of hot gas in spectacular jets. These computer enhanced radio images show one plasma bubble coming almost directly toward us at 90 percent the speed of light, and another moving away. Each of the four frames marks the passage of one day. Originally detected on October 29th, these bubbles have now faded from view."[45]

In the second image down on the right is shown a time-lapse sequence, where each of the four frames marks the passage of one day, as the micro-quasar GRS1915 expels bubbles of hot gas in spectacular jets at apparently superluminal speeds.

Milky Way

"Researchers using the Very Large Array (VLA) have discovered that a small, powerful object in our own cosmic neighborhood is shooting out material at nearly the speed of light -- a feat previously known to be performed only by the massive cores of entire galaxies. In fact, because of the direction in which the material is moving, it appears to be traveling faster than the speed of light -- a phenomenon called "superluminal motion.""[46]

BL Lacertae objects

A BL Lacertae object or BL Lac object is a type of active galaxy with an active galactic nucleus (AGN) and is named after its prototype, BL Lacertae. In contrast to other types of active galactic nuclei, BL Lacs are characterized by rapid and large-amplitude flux variability and significant optical polarization.

All known BL Lacs are associated with core dominated radio sources, many of them exhibiting superluminal motion.

Intergalactic medium

"The very fast neon nova GK Persei rivalled the brightness of Vega at the peak of its outburst in 1901 (see Bode, O’Brien & Simpson 1994, and references therein). Early observations showed it to possess optical nebulosities on arcminute scales apparently expanding at super-light velocities and subsequently explained as light echoes (Kapteyn 1902). Indeed, it was the first astronomical source in which such motion was observed and one of only three novae where such an effect has been noted (the other two being V732 Sgr (Swope 1940) and V1974 Cyg (Casalegno et al. 2000) - see next section)."[47]

"The 1901 nova outburst was therefore the first of ultimately very many that this system will undergo."[47]

"The classical nova GK Persei ... has turned out to be the longest lived and most energetic among the classical novae and appears more like a supernova remnant (SNR) in miniature but evolving on human timescales."[48]

"Images made with the Very Long Baseline Array (VLBA) radio telescope show the mysterious X-ray nova in Scorpius as it ejected blobs of material at tremendous speeds over the period from August 18 to September 22, 1994. Some of these blobs appear to be moving faster than the speed of light -- an illusion created by both the great actual speed of the blobs and their direction of travel with relation to the Earth."[49]

"This object was discovered by the Compton Gamma Ray Observatory "[49]

Relativistic jets

The two images are a top panel of Hubble Space Telescope image showing the M87 jet streaming out from the galaxy's nucleus (bright round region at far left) and a bottom panel which contains a sequence of Hubble images showing motion of something at six times the speed of light. Credit: John Biretta/NASA/ESA/Space Telecsope Science Institute.
Centaurus A in X-rays shows the relativistic jet. Credit: NASA.

In the images at right are the effects of charged particles apparently moving six times the speed of light.

"We see almost a dozen clouds which appear to be moving out from the galaxy's center at between four and six times the speed of light. These are all located in a narrow [relativistic] jet of gas streaming out from the region of the black hole at the galaxy's center".[50]

"We believe this apparent speed translates into an actual velocity just slightly below that of light itself."[50]

"The speeds reported are two to three times faster than the fastest motions previously recorded in M87, the only nearby galaxy to show evidence for superluminal motion."[50]

"This discovery goes a long way towards confirming that radio galaxies, quasars and exotic BL Lac objects are basically the same beast, powered by super massive black holes, and differ only in orientation with respect to the observer".[50]

"Here we have, for the first time, a fairly normal radio galaxy with both excellent evidence for a super-massive black hole, as well as superluminal jet speeds similar to those seen in distant quasars and BL Lac objects."[50]

"This is the first time superluminal motion has been seen with any optical telescope, and this discovery was made possible by the extremely fine resolution obtained by Hubble".[51]

"The structure of relativistic jets in [active galactic nuclei] AGN on scales of light days reveals how energy propagates through jets, a process that is fundamental to galaxy evolution."[52]

Their lengths can reach several thousand[50] or even hundreds of thousands of light years.[53] The hypothesis is that the twisting of magnetic fields in the accretion disk collimates the outflow along the rotation axis of the central object, so that when conditions are suitable, a jet will emerge from each face of the accretion disk. If the jet is oriented along the line of sight to Earth, relativistic beaming will change its apparent brightness. The mechanics behind both the creation of the jets[54][55] and the composition of the jets[56] are still a matter of much debate in the scientific community; it is hypothesized that the jets are composed of an electrically neutral mixture of electrons, positrons, and protons in some proportion.

A relativistic jet emitted from the AGN of M87 is traveling at speeds between four and six times the speed of light.[50]

"The term 'superluminal motion' is something of a misnomer. While it accurately describes the speeds measured, scientists still believe the actual speed falls just below the speed of light."[50]

"It's an illusion created by the finite speed of light and rapid motion".[50]

"Our present understanding is that this 'superluminal motion' occurs when these clouds move towards Earth at speeds very close to that of light, in this case, more than 98 percent of the speed of light. At these speeds the clouds nearly keep pace with the light they emit as they move towards Earth, so when the light finally reaches us, the motion appears much more rapid than the speed of light. Since the moving clouds travel slightly slower than the speed of light, they do not actually violate Einstein's theory of relativity which sets light as the speed limit."[50]

Active galactic nuclei

This is a radio image of quasar S4 0003+38. Credit: M. I. Lister, M. F. Aller, H. D. Aller, D. C. Homan, K. I. Kellermann, Y. Y. Kovalev, A. B. Pushkarev, J. L. Richards, E. Ros, and T. Savolainen/VLBA.
This is a radio image of NGC 315 showing apparent superluminal motion. Credit: M. I. Lister, M. F. Aller, H. D. Aller, D. C. Homan, K. I. Kellermann, Y. Y. Kovalev, A. B. Pushkarev, J. L. Richards, E. Ros, and T. Savolainen/VLBA.
This is a radio image of AGN 0305+039. Credit: M. I. Lister, M. F. Aller, H. D. Aller, D. C. Homan, K. I. Kellermann, Y. Y. Kovalev, A. B. Pushkarev, J. L. Richards, E. Ros, and T. Savolainen/VLBA.
This is a radio image of quasar 1458+718. Credit: M. I. Lister, M. F. Aller, H. D. Aller, D. C. Homan, K. I. Kellermann, Y. Y. Kovalev, A. B. Pushkarev, J. L. Richards, E. Ros, and T. Savolainen/VLBA.
This is a radio image of the TeV-emitting BL Lac 0219+428 (3C 66A). Credit: M. I. Lister, M. F. Aller, H. D. Aller, D. C. Homan, K. I. Kellermann, Y. Y. Kovalev, A. B. Pushkarev, J. L. Richards, E. Ros, and T. Savolainen/VLBA.
The image contains a series of radio images at successive epochs using the VLBA of the jet in the broad-line radio galaxy 3C 111. Credit: M. Kadler, E. Ros, M. Perucho, Y. Y. Kovalev, D. C. Homan, I. Agudo, K. I. Kellermann, M. F. Aller, H. D. Aller, M. L. Lister, and J. A. Zensus.

For active galactic nuclei (AGNs) "bright jet features typically exhibit apparent superluminal speeds and accelerated motions."[57]

AGN "jets with the fastest superluminal speeds all tend to have high Doppler boosted radio luminosities. [...] there is a correlation between intrinsic jet speed and intrinsic (de-beamed) luminosity".[57]

The AGN showing superluminal motion in B1950 are[57]

  1. 0003+380 S4 0003+38 J0006.1+3821 z=0.229 quasar
  2. 0003-066 NRAO 005 ... z=0.3467 BL Lac
  3. 0007+106 III Zw 2 ... z=0.0893 radio galaxy
  4. 0010+405 4C +40.01 ... z=0.256 quasar
  5. 0015-054 PMN J0017-0512 J0017.6-0510 z=0.226 quasar
  6. 0016+731 S5 0016+73 ··· z=1.781 quasar
  7. 0048-097 PKS 0048-09 J0050.6-0929 z=0.635 BL Lac
  8. 0055+300 NGC 315 ··· z=0.0165 radio galaxy
  9. 0059+581 TXS 0059+581 J0102.7+5827 z=0.644 quasar
  10. 0106+013 4C +01.02 J0108.6+0135 z=2.099 quasar
  11. 0109+224 S2 0109+22 J0112.1+2245 z=0.265 BL Lac
  12. 0109+351 B2 0109+35 ··· z=0.450 quasar
  13. 0110+318 4C +31.03 J0112.8+3208 z=0.603 quasar
  14. 0111+021 UGC 00773 ··· z=0.047 BL Lac
  15. 0116-219 OC -228 J0118.8-2142 z=1.165 quasar.

At right is a radio image of quasar S4 0003+38.[57] This object was image on March 9 and December 1, 2006, March 28 and August 24, 2007, May 1 and July 17, 2008, March 25, 2009, and July 12, 2010. From its movement as it was leaving its source in µas y-1, S4 0003+38 before it left its source was moving at 2.62±0.84c, left its source at a back projected date of 2003.01±0.24, continued accelerating to 4.63±0.32c, then began to decelerate successively at each observation epoch from 0.67±0.20, 0.36±0.32, to 0.16±0.26.[57]

The second image at right is of apparent superluminal motion in NGC 315. In both of these images the apparent motion is rectilinear or close to it. NGC 315 is a low-luminosity radio galaxy.

The third image at right shows the approximate radial motion of the jet component versus the core.

"Inward motions are rare (2% of all features), are slow (< 0.1 mas per y), are more prevalent in BL Lac jets, and are typically found within 1 mas of the unresolved core feature. [...] Considering only the AGN with a known redshift, the inward components of 1458+718 [fourth at right] are the only ones which appear significantly superluminal, ranging from 1.4 c to 4.6 c. With the exception of 1458+718, 2021+614, and 2230+114, the inward motions all occur within ∼ 1 mas of the core, in typically the innermost component. In particular, the innermost two jet components of two TeV-emitting BL Lacs in our sample: 0219+428 (3C 66A) [at fifth right] and 1219+285 (W Comae) are both inward-moving. The small velocities and core separations of these moving components may indicate that the core is not a stable reference point in these two jets."[57]

The line in the image for 1458+718 connects the two components. The "the apparent inward motion [...] of [the] two component [is] in a complex emission region located ∼ 25 mas south of the core in this compact steep spectrum quasar. [There is] one additional component in this complex [...] that is also moving inward, in a non-radial direction."[57]

"The moving features are generally non-ballistic, with 70% of the well-sampled features showing either significant accelerations or non-radial motions."[57]

"A substantial number of components showed no significant acceleration, but had non-radial motion vectors. [...] This is in stark contrast to the kinematics of features in stellar (Herbig-Haro) jets, which are well described by ballistic models [...] Of the 739 components with statistically significant (≥ 3σ) speeds, 38% exhibited significant non-radial motion, implying non-ballistic trajectories.".[57]

The "acceleration [is resolvable into] terms μ and μǁ in directions perpendicular and parallel, respectively, to the mean angular velocity direction φ."[57]

"[S]ignificant parallel accelerations [are] seen in roughly one third of our sample, and significant perpendicular accelerations in about one fifth of our sample."[57]

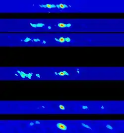
"VLBA images of the jet in the broad-line radio galaxy 3C 111. The picture shows the variable parsec-scale structure of the jet in this active galactic nucleus. The features observed correspond to ejected plasma regions traveling at relativistic speeds. Those appear to be larger than the speed of light due to projection effects. The sixteen images are spaced by their relative time intervals. The images show that a major radio flux-density outburst in 1996 was followed by a particularly bright plasma ejection associated with a superluminal jet component. This major event was followed by trailing features in its evolution. A similar event is seen after mid 2001. The jet dynamics in this source is revealed: a plasma injection into the jet beam leads to the formation of multiple shocks that travel at different speeds downstream (ranging from 3c to 6c) and interact with each other and with the ambient medium. This is in agreement with numerical relativistic magnetohydrodynamic structural and emission simulations of jets."[58]

"Images were taken at 15 GHz with the full Very Long Baseline Array as part of the 2cm Survey/MOJAVE collaboration. The observing runs usually last 8 hr and the total observing time on source is approximately 50 minutes. The typical dynamic range in the images is of 1000:1 (the lowest shown flux density is typically of 1-2 mJy/beam). The images are convolved with a common restoring beam of 0.5x1.0 milliarcseconds (P.A. of 0 deg). The image alignment is (arbitrary) to the brightness peak. The superluminal speeds of the features in the jet were determined from a detailed analysis of multiple Gaussian model fits to the observed visibilities."[58]

Quasars

Superluminal motion in quasar 3C279 is shown in a "movie" mosaic of five radio images made over seven years. Credit: NRAO/AUI.
This sequence covers a month in the life of the microquasar, as imaged by the VLBA. Credit: NRAO/AUI.
The graph is a distribution of apparent linear velocity for the 156 individual features of 96 sources that have well determined motions. Credit: K. I. Kellermann, M. L. Lister, and D. C. Homan, E. Ros and J. A. Zensus, M. H. Cohen and M. Russo, and R. C. Vermeulen/NRAO.

"Superluminal motion in quasar 3C279 is shown [at right] in a "movie" mosaic of five radio images made over seven years. The stationary core is the bright red spot to the left of each image. The observed location of the rightmost blue-green blob moved about 25 light years from 1991 to 1998, hence the changes appear to an observer to be faster than the speed of light or "superluminal". The motion is not really faster than light, the measured speed is due to light-travel-time effects for a source moving near the speed of light almost directly toward the observer. The blue-green blob is part of a jet pointing within 2 degrees to our line of sight, and moving at a true speed of 0.997 times the speed of light. These five images are part of a larger set of twenty-eight images made with the VLBA and other radio telescopes from 1991 to 1997 to study the detailed properties of this energetic quasar."[59] The images are in the K band, 1.2 cm, 22 GHz.[59]

"A time ordered sequence of images of the microquasar GRO J1655-10, with earlier times at the top and later times underneath. This sequence covers a month in the life of the microquasar, as imaged by the VLBA. GRO J1655-40 is a binary system in which the outer envelope of the normal star is overflowing onto its black hole companion. The accreting matter swirls into a rapidly rotating disk as it falls towards the black hole; near the center, some of this matter is "squirted out" perpendicular to the disk, at relativistic speeds (i.e, speeds approaching the speed of light). The radio emission associated with these relativistic jets is what we see here. The intrinsic speed of these jets is about 90% of the speed of light. Because the jets are moving almost as fast as the radiation they emit, the approaching jet appears to move even faster, and the apparent motions range up to 1.3 times the speed of light."[60]

"VLBA images [are] at 1.6 GHz. Images made from data collected in August and September, 1994. Top image from Aug 18-19; next one from Aug 22-23; next Aug 25-26; next Aug 25-26; next Sep 1-2; next Sep 8-9; next Sep 12-13; and last Sep 20-21."[60]

"It is generally accepted that the blazar phenomenon is due to the anisotropic boosting of the radiation along the direction of motion which gives rise to an apparent enhanced luminosity at all wavelengths if the observer is located close to the direction of motion. There are many observations which support this interpretation including the one sided appearance of blazar jets and the rapid flux density variability observed at many wavelengths. However, the only direct observations of relativistic motion are at radio wavelengths when motion close to the line of sight produces a compression of the time frame resulting in apparent superluminal motion. High resolution interferometric radio images are able to measure such motions which are typically less than one milliarcsecond per year."[61]

The "details of the kinematics [of superluminal source motions] have remained elusive. One of the problems is, that contrary to indications of early observations (e.g., Cohen et al. 1977), the radio jets often do not contain simple well defined moving components. Instead, the jets may show a complex brightness distribution with regions of enhanced intensity that may brighten and fade with time. Some features appear to move; others are stationary, or may break up into two or more separate features, and it is often unclear how these moving features are related to the actual underlying relativistic flow."[61]

The third image at right "shows the distribution of apparent linear velocity for the 157 components contained in our full sample that have well-determined motions. This includes 104 quasar components, 31 BL Lac components, and 22 components associated with the nucleus of an active galaxy."[61]

This image "is in marked contrast to early discussions of superluminal motion, which indicated typical values of γ in the range 5 to 10 (Cohen et al. 1977, Porcas 1987). [...] Most of the sources in our sample are quasars and their velocity distribution is peaked near low values of v/c between zero and ten, but there is a tail extending out to v/c ~ 34. Features associated with the active nuclei of galaxies all appear to have motions in the range 0 < v/c < 8, while the BL Lac objects appear more uniformly distributed over the entire range from 0 to 35."[61]

Double-lobed quasars

The "detection of superluminal motion in the central component of the double-lobed quasar 3C 245 [is shown above in the Objects section above.] This object has a strong nucleus (S = 0.91 Jy at 5 GHz; [an] extended, steep-spectrum emission [and] is intermediate between lobe-dominated (R < 1) and core-dominated (R > 1) objects. [Where R is the ratio of compact to extended flux density at an emitted frequency ν = 5 GHz.]"[62] The object was observed at five successive epochs: 1981.76, 1983.11, 1983.78, 1984.95, and 1986.17.[62]

"The apparent separation of the centroids of [each lobe] changes from 0.33 mas to 0.46 mas between epochs 4 and 5; [...] The milliarcsecond-scale structure of 3C 245 may be interpreted as a typical "core-jet" source, [...] The jet components [...] are aligned, within the errors, with a one-sided jet on a scale of ~ 10-30 mas, which in turn is aligned with the inner knots of a curved arcsecond jet [...] z = 1.029 [...] the curvature (~ 20°) in the arcsecond-scale jet is moderate for extragalactic radio sources. [...] moderate apparent curvature is expected in a source with small intrinsic curvature aligned at a fairly small angle to the line of sight, θ."[62]

The "strong, rapid variability provides evidence for bulk relativistic motion. [...] The proper motion of 0.11 ± 0.05 mas yr-1 [...] translates into an apparent transverse velocity [of] (3.1 ± 1.4) [c]. The apparent velocity in 3C 245 lies between that of the other of two known steep-spectrum, double-lobed superluminal quasars (4.5 [c] for 3C 179, [and] 1.3 [c] for 3C 263 [...] The average apparent velocity in the three steep-spectrum, double-lobed quasars is half that in the seven best-studied, strongly core-dominated superluminal quasars"[62]

A "linear-correlation coefficient test using these 10 quasars shows a correlation of βapp with R significant at the 96% level".[62]

Recent history

The recent history period dates from around 1,000 b2k to present.

"VLBI (very-long-baseline interferometry) observations between 1971 and 1983 have been used to determine the positions of the 'core' of the quasar 3C345 relative to the more distant compact quasar NRAO512 with a fractional uncertainty as small as two parts in a hundred million. The core of 3C345 appears stationary in right ascension to within 20 arc microsec/yr, a subluminal bound corresponding to 0.7c. The apparent velocities of the jets are superluminal, up to 14c in magnitude."[63]

Physics

This is a schematic diagram for superluminal motion. Credit: Heasarc/GSFC/NASA.
This is a diagram for deriving the relativistic explanation of superluminal motion in AGN jets. Credit: Muhammad.

A relativistic jet coming out of the center of an active galactic nucleus is moving along AB with a velocity v. We are observing the jet from the point O. At time a light ray leaves the jet from point A and another ray leaves at time from point B. Observer at O receives the rays at time and respectively.

, where

Apparent transverse velocity along CB,

, where

If (i.e. when velocity of jet is close to the velocity of light) then despite the fact that . And of course means apparent transverse velocity along CB, the only velocity on sky that we can measure, is larger than the velocity of light in vacuum, i.e. the motion is apparently superluminal.

Observatories

The image shows the Very Large Array (VLA) at Socorro, New Mexico, USA. Credit: Photo taken by Hajor modified by Mats Halldin.

"For the 1989.29 VLBI observation we simultaneously used the VLA [above center] at 5 GHz in its normal B-configuration synthesis mode to obtain an image of the large scale structure of 3C390.3 with angular resolution of 1.2". We observed the source nearly continuously for 14 hours, except for a 5 min observation of 1803+784 as a phase and amplitude calibrator twice per hour."[64]

Detectors

LHCb detector is diagrammed. Credit: Oswald_le_fort.
AMS-02 is a RICH detector for analyzing cosmic rays. Credit: NASA.

Most Cherenkov detectors aim at recording the Cherenkov light produced by a primary charged particle. Some sensor technologies explicitly aim at Cherenkov light produced (also) by secondary particles, be it incoherent emission as occurring in an electromagnetic particle shower or by coherent emission, example Askaryan effect.

Cherenkov radiation is not only present in the range of visible light or UV light but also in any frequency range where the emission condition can be met i.e. in the radiofrequency range.

Different levels of information can be used. A binary information can be based on the absence or presence of detected Cherenkov radiation. The amount or the direction of Cherenkov light can be used. In contrast to a scintillation counter the light production is instantaneous.

Cherenkov threshold detectors have been used for fast timing and Time of flight measurements in particle physics experiments. More elaborate designs use the amount of light produced. Recording light from both primary and secondary particles, for a Cherenkov calorimeter the total light yield is proportional to the incident particle energy.

Using the light direction are differential Cherenkov detectors. Recording individual Cherenkov photon locations on a position-sensitive sensor area, RICH detectors then reconstruct Cherenkov angles from the recorded patterns. As RICH detectors hence provide information on the particle velocity, if the momentum of the particle is also known (from magnetic bending), combining these two informations enables the particle mass to be deduced so that the particle type can be identified.

A Ring-imaging Cherenkov (RICH) detector is a device that allows the identification of electrically charged subatomic particle types through the detection of the Cherenkov radiation emitted (as photons) by the particle in traversing a medium with refractive index > 1. The identification is achieved by measurement of the angle of emission, , of the Cherenkov radiation, which is related to the charged particle's velocity by

where is the speed of light.

The LHCb experiment on the Large Hadron Collider uses two RICH detectors for differentiating between pions and kaons.[65] The first (RICH-1) is located immediately after the Vertex Locator (VELO) around the interaction point and is optimised for low-momentum particles and the second (RICH-2) is located after the magnet and particle-tracker layers and optimised for higher-momentum particles.[66]

The Alpha Magnetic Spectrometer device AMS-02, recently mounted on the International Space Station uses a RICH detector in combination with other devices to analyze cosmic rays.

Cherenkov detectors

A Cherenkov (Čerenkov) detector is a particle detector using the mass-dependent threshold energy of Cherenkov radiation. This allows a discrimination between a lighter particle (which does radiate) and a heavier particle (which does not radiate).

It is a more advanced form of scintillation counter. A particle passing through a material at a velocity greater than that at which light can travel through the material emits light. This is similar to the production of a sonic boom when an airplane is traveling through the air faster than sound waves can move through the air. This light is emitted in a cone about the direction in which the particle is moving. The angle of the cone, , is a direct measure of the particle's velocity through the formula

,

where is the speed of light, and is the refractive index of the medium. Alternatively, if the momentum of the particle is known (from magnetic bending) the Cherenkov's information on the particle's velocity enables the mass to be deduced so that the particle can be identified.

Cherenkov telescopes

The Cherenkov telescopes do not actually detect the gamma rays directly but instead detect the flashes of visible light [Cherenkov radiation] produced when gamma rays are absorbed by the Earth's atmosphere.[67]

Hypotheses

  1. Astronomical objects observed to be traveling transversely at superluminal speeds are traveling transversely at superluminal speeds.
  2. As most observable matter seems to be subluminal and normal, perhaps superluminal matter is mostly antimatter.

See also

References

  1. Gonzalez-Diaz, P. F. (2000). "Warp drive space-time". Physical Review D 62 (4): 044005. doi:10.1103/PhysRevD.62.044005. http://omnis.if.ufrj.br/~mbr/warp/etc/PRD62_44005.pdf.
  2. F. Loup; David Waite; E. Halerewicz Jr. (2001). [ttp://arxiv.org/abs/gr-qc/0107097 Reduced Total Energy Requirements for a Modified Alcubierre Warp Drive Spacetime]. arXiv:gr-qc/0107097. Bibcode:2001gr.qc.....7097L.
  3. M. Visser; B. Bassett; S. Liberati (2000). "Superluminal censorship". Nuclear Physics B: Proceedings Supplement 88: 267–270. doi:10.1016/S0920-5632(00)00782-9.
  4. Visser, M.; Bassett, B.; Liberati, S. (1999). "Perturbative superluminal censorship and the null energy condition". AIP Conference Proceedings 493: 301–305. doi:10.1063/1.1301601. ISBN 1-56396-905-X.
  5. Rees, Martin J. (1966). "Appearance of relativistically expanding radio sources". Nature 211 (5048): 468. doi:10.1038/211468a0.
  6. Blandford, Roger D.; McKee, C. F.; Rees, Martin J. (1977). "Super-luminal expansion in extragalactic radio sources". Nature 267 (5608): 211. doi:10.1038/267211a0.
  7. Jacob Bekenstein; Mordehai Milgrom (November 1, 1984). "Does the missing mass problem signal the breakdown of Newtonian gravity?". The Astrophysical Journal 286 (11): 7-14. doi:10.1086/162570. http://adsabs.harvard.edu/full/1984ApJ...286....7B. Retrieved 2013-10-15.
  8. J V Jelley (1955). "Cerenkov radiation and its applications". British Journal of Applied Physics 6 (7): 227. doi:10.1088/0508-3443/6/7/301. http://iopscience.iop.org/0508-3443/6/7/301/pdf/0508-3443_6_7_301.pdf. Retrieved 2012-07-28.
  9. Cosmology Tutorial - Part 2. Astro.ucla.edu. 12 June 2009. Retrieved 2011-09-26.
  10. Inflationary Period from HyperPhysics. Hyperphysics.phy-astr.gsu.edu. Retrieved 2011-09-26.
  11. Is the universe expanding faster than the speed of light? (see the last two paragraphs)
  12. 1 2 Charles Lineweaver, Tamara M. Davis (2005). Misconceptions about the Big Bang (PDF). Scientific American. Retrieved 2008-11-06.
  13. Loeb, Abraham (2002). "The Long-Term Future of Extragalactic Astronomy". Physical Review D 65 (4). doi:10.1103/PhysRevD.65.047301.
  14. M. H. Cohen; K. I. Kellermann; D. B. Shaffer; R. P. Linfield; A. T. Moffet; J. D. Romney; G. A. Seielstad; I. I. K. Pauliny-Toth et al. (August 1977). "Radio sources with superluminal velocities". Nature 268: 405-9. doi:10.1038/268405a0.
  15. T. J. Pearson; S. C. Unwin; M. H. Cohen; R. P. Linfield; A. C. S. Readhead; G. A. Seielstad; R. S. Simon; R. C. Walker (April 1981). "Superluminal expansion of quasar 3C273". Nature 290: 365-8. doi:10.1038/290365a0.
  16. 1 2 3 A. G. Polatidis; P. N. Wilkinson (1998). J. A. Zensus, G. B. Taylor, & J. M. Wrobel. ed. Superluminal Motion in the Parsec-Scale Jet of 3C 380, In: Radio Emission from Galactic and Extragalactic Compact Sources. ASP Conference Series 144. Astronomical Society of the Pacific. pp. 77-78. http://www.cv.nrao.edu/iau164/preprints/polatidis.ps.gz. Retrieved 2014-03-18.
  17. 1 2 3 Bill Keel (October 2003). Jets, Superluminal Motion, and Gamma-Ray Bursts. Tucson, Arizona USA: University of Arizona. Retrieved 2014-03-19.
  18. 1 2 3 J. Singleton; A. Ardavan; H. Ardavan; J. Fopma; D. Halliday (2005). Non-spherically-decaying radiation from an oscillating superluminal polarization current: possible low-power, deep-space communication applications in the MHz and THz bands, 16th International Symposium on Space Terahertz Technology. pp. 117. http://www.nrao.edu/meetings/isstt/papers/2005/2005117000.pdf. Retrieved 2014-03-18.
  19. Daniel Rohrlich; Yakir Aharonov (October 2002). "Cherenkov radiation of superluminal particles". Physical Review A 66 (4): 7. doi:10.1103/PhysRevA.66.042102. http://arxiv.org/pdf/quant-ph/0107025v2.pdf. Retrieved 2012-07-28.
  20. 1 2 3 4 Bill Keel (October 2003). Composite emission-line spectrum of NGC 4151. Tucson, Arizona USA: University of Arizona. Retrieved 2014-03-19.
  21. 1 2 David H. Roberts; Denise C. Gabuzda; John F. C. Wardle (December 15, 1987). "Linear polarization structure of the BL Lacertae object OJ 287 at milliarcsecond resolution". The Astrophysical Journal 323 (12): 536-42. doi:10.1086/165849.
  22. 1 2 D. C. Gabuzda; J. F. C. Wardle; D. H. Roberts (January 15, 1989). "Superluminal motion in the BL Lacertae object OJ 287". The Astrophysical Journal 336 (1): L59-62. doi:10.1086/185361.
  23. 1 2 3 http://www.newscientist.com/article/dn18775-mysterious-radio-waves-emitted-from-nearby-galaxy.html
  24. Tana Joseph, Thomas Maccarone, Robert Fender: The unusual radio transient in M82: an SS 433 analogue?, 2011-07-25
  25. http://www.jb.man.ac.uk/news/2010/M82mystery/
  26. Astrophysical Journal, "Identification of the Radio Sources in Cassiopeia (A), Cygnus A, and Puppis A", Baade, W.; Minkowski, R., vol. 119, p.206, January 1954, doi:10.1086/145812 , Bibcode: 1954ApJ...119..206B
  27. Jennison, R.C.; Das Gupta, M.K. (1953). "Fine Structure of the extra-terrestrial radio source Cygnus 1". Nature, Vol. 172. p. 996.
  28. Graham, Alister W. (November 2008), "Populating the Galaxy Velocity Dispersion - Supermassive Black Hole Mass Diagram: A Catalogue of (Mbh, σ) Values", Publications of the Astronomical Society of Australia, 25 (4): 167–175, arXiv:0807.2549, Bibcode:2008PASA...25..167G, doi:10.1071/AS08013.
  29. 1 2 Bill Keel (October 2003). The powerful radio galaxy Cygnus A. Tucson, Arizona USA: University of Arizona. Retrieved 2014-03-19.
  30. Strange, D. "The Radio Galaxy Cygnus "A"". Archived from the original on July 25, 2008. Retrieved 2008-09-22.
  31. Nemiroff, Robert; Bonnell, Jerry (2002-10-05). "X-Ray Cygnus A". Astronomy Picture of the Day. Retrieved 2008-09-22.
  32. Perley, D. A.; Perley, R. A.; Dhawan, V.; Carilli, C. L. (2017). "Discovery of a Luminous Radio Transient 460 pc from the Central Supermassive Black Hole in Cygnus A". The Astrophysical Journal 841 (2): 117. doi:10.3847/1538-4357/aa725b. ISSN 1538-4357.
  33. M. Antonello; P. Aprili; B. Baibussinov; M. Baldo Ceolin; P. Benetti; E. Calligarich; N. Canci; F. Carbonara et al. (May 15, 2012). "A search for the analogue to Cherenkov radiation by high energy neutrinos at superluminal speeds in ICARUS". Physics Letters B 711 (3-4): 270-5. http://inspirehep.net/record/940150/files/arXiv:1110.3763.pdf. Retrieved 2012-07-28.
  34. 1 2 3 4 5 Andrew G. Cohen; Sheldon L. Glashow (October 2011). "Pair Creation Constrains Superluminal Neutrino Propagation". Physical Review Letters 107 (18): 181803. doi:10.1103/PhysRevLett.107.181803. http://adsabs.harvard.edu/abs/2011PhRvL.107r1803C. Retrieved 2013-08-16.
  35. A. Moralejo for the MAGIC collaboration (2004). "The MAGIC telescope for gamma-ray astronomy above 30 GeV". Memorie della Societa Astronomica Italiana 75: 232-9. http://adsabs.harvard.edu/abs/2004MmSAI..75..232M. Retrieved 2012-07-28.
  36. P. W. Gorham; S. W. Barwick; J. J. Beatty; D. Z.Besson; W. R. Binns; C. Chen; P. Chen; J. M. Clem et al. (October 25, 2007). "Observations of the Askaryan Effect in Ice". Physical Review Letters 99 (17): 5. doi:10.1103/PhysRevLett.99.171101. http://arxiv.org/pdf/hep-ex/0611008.pdf. Retrieved 2012-07-28.
  37. 1 2 Roman Tomaschitz (March 2007). "Superluminal cascade spectra of TeV [gamma-ray sources"]. Annals of Physics 322 (3): 677-700. doi:10.1016/j.aop.2006.11.005. http://wallpaintings.at/geminga/superluminal_cascade_spectra_TeV_gamma-ray_sources.pdf. Retrieved 2011-11-24.
  38. 1 2 R Tomaschitz (October 2010). "Superluminal spectral densities of ultra-relativistic electrons in intense electromagnetic wave fields". Applied Physics B Lasers and Optics 101 (1-2): 143-64. doi:10.1007/s00340-010-4182-8. http://www.springerlink.com/index/W575540733147645.pdf. Retrieved 2012-03-21.
  39. Bill Keel (October 2003). Galaxy, jet, and obscuring disk in NGC 1068. Tucson, Arizona USA: University of Arizona. Retrieved 2014-03-19.
  40. 1 2 Tavani, M.; Fruchter, A.; Zhang, S. N.; Harmon, B. A.; Hjellming, R. N.; Rupen, M. P.; Bailyn, C.; Livio, M. (December 20, 1996). "The Dual Nature of Hard X-Ray Outbursts from the Superluminal X-Ray Transient Source GRO J1655-40". The Astrophysical Journal 473 (12): L103-6. doi:10.1086/310406. http://iopscience.iop.org/1538-4357/473/2/L103/fulltext/. Retrieved 2013-08-02.
  41. Richard Barvainis; Jim Ulvestad; Mark Birkinshaw; Joseph Lehar (September 15, 2005). Are Radio-Quiet Quasars Superluminal?. West Virginia USA: National Radio Astronomy Observatory. Retrieved 2014-03-17.
  42. 1 2 3 4 K. P. Mooley; A. T. Deller; O. Gottlieb; E. Nakar; G. Hallinan; S. Bourke; D. A. Frail; A. Horesh et al. (20 September 2018). "Superluminal motion of a relativistic jet in the neutron-star merger GW170817". Nature 561: 355-66. doi:10.1038/s41586-018-0486-3. https://www.nature.com/articles/s41586-018-0486-3.epdf?referrer_access_token=CNIJazUarYaL6ZX8a9SQiNRgN0jAjWel9jnR3ZoTv0PfZxQ-bsUzUAB93XbhI-C7GGTgOuCnlkyC9jxyHqBLKYRGyMorSFyYLKZg33-C5xkJ_mGCESVx97QEpTDGRFM5At5REVAvdDPxp_U0TOUmH5Mi8rPriOVCM2nUKG7gmDqv4XG2FXLltbh-pzxbTquqh2p9BTYFd_q1rqZRAFBeBXWclWfnn7AiFSKcP-EUJBLi2PV3h7gjGDOop3UIbKYjqqMopsFeIJEY1jxzB1e35se49wDERx2gvW4BOrXzXGWHsIQ3GCqAlqJ8B2zNzYkJPNMw9vSpCv5eJT4vDiUwgHPupg_VZyhqTMX_jKOAa6ujobKWUm_wqDEhlynAWycL&tracking_referrer=www.sciencenews.org. Retrieved 4 March 2019.
  43. 1 2 Bill Keel (October 2003). The interaction of jets and clouds in NGC 4151. Tucson, Arizona USA: University of Arizona. Retrieved 2014-03-19.
  44. 1 2 3 4 5 The Daily Galaxy; The research arXiv:0909.2445v2; physicsworld.com (October 2010). Pulsar's Superluminal Speeds: Really Faster than Speed of Light?. The Daily Galaxy. Retrieved 2014-03-18.
  45. 1 2 3 4 5 6 Felix Mirabel; Luis Rodriguez (2000). "Microquasars" in Our Own Galaxy. West Virginia USA: National Radio Astronomy Observatory. Retrieved 2014-03-17.
  46. Dave Finley (August 31, 1994). Strange, Powerful Object in Milky Way Galaxy Shoots Out Material at Super Speeds. West Virginia, USA: National Radio Astronomy Observatory. Retrieved 2014-03-16.
  47. 1 2 M.F. Bode (February 2010). "The outbursts of classical and recurrent novae". Astronomische Nachrichten 331 (2): 160-8. doi:10.1002/asna.200911319. http://onlinelibrary.wiley.com/doi/10.1002/asna.200911319/abstract. Retrieved 2014-01-09.
  48. M. F. Bode; T. J. O'Brien; M. Simpson (January 1, 2004). "Echoes of an explosive past: Solving the mystery of the first superluminal source". The Astrophysical Journal 600 (1): L63. http://iopscience.iop.org/1538-4357/600/1/L63. Retrieved 2014-01-09.
  49. 1 2 Dave Finley (January 12, 1995). VLBA Images Track Ejected Material from Mysterious X-Ray Nova in Scorpius. Retrieved 2014-03-16.
  50. 1 2 3 4 5 6 7 8 9 10 John Biretta (January 6, 1999). Hubble Detects Faster-Than-Light Motion in Galaxy M87. Baltimore. Maryland USA: Space Telecsope Science Institute. Retrieved 2013-04-28.
  51. Duccio Macchetto (January 6, 1999). Hubble Detects Faster-Than-Light Motion in Galaxy M87. Baltimore. Maryland USA: Space Telecsope Science Institute. Retrieved 2013-04-28.
  52. Ann E. Wehrle; Norbert Zacharias; Kenneth Johnston; David Boboltz; Alan L. Fey; Ralph Gaume; Roopesh Ojha; David L. Meier; David W. Murphy; Dayton L. Jones; Stephen C. Unwin; B. Glenn Piner (February 11, 2009). What is the structure of Relativistic Jets in AGN on Scales of Light Days? In: Galaxies Across Cosmic Time (PDF). Retrieved 2013-04-28.
  53. Yale University - Office of Public Affairs (2006, June 20). Evidence for Ultra-Energetic Particles in Jet from Black Hole (http://web.archive.org/web/20080513034113/http://www.yale.edu/opa/newsr/06-06-20-01.all.html)
  54. Meier, L. M. (2003). The Theory and Simulation of Relativistic Jet Formation: Towards a Unified Model For Micro- and Macroquasars, 2003, New Astron. Rev. , 47, 667. (http://arxiv.org/abs/astro-ph/0312048)
  55. Semenov, V.S., Dyadechkin, S.A. and Punsly (2004, August 13). Simulations of Jets Driven by Black Hole Rotation. Science, 305, 978-980. (http://www.sciencemag.org/cgi/content/abstract/sci;305/5686/978?maxtoshow=&HITS=10&hits=10&RESULTFORMAT=&fulltext=relativistic+jet&searchid=1&FIRSTINDEX=10&resourcetype=HWCIT)
  56. Georganopoulos, M.; Kazanas, D.; Perlman, E.; Stecker, F. (2005) Bulk Comptonization of the Cosmic Microwave Background by Extragalactic Jets as a Probe of their Matter Content, The Astrophysical Journal , 625, 656. (http://arxiv.org/abs/astro-ph/0502201)
  57. 1 2 3 4 5 6 7 8 9 10 11 M. I. Lister; M. F. Aller; H. D. Aller; D. C. Homan; K. I. Kellermann; Y. Y. Kovalev; A. B. Pushkarev; J. L. Richards et al. (2013). "MOJAVE. X. Parsec-Scale Jet Orientation Variations and Superluminal Motion in AGN". The Astronomical Journal. http://arxiv.org/pdf/1308.2713v1.pdf. Retrieved 2014-03-17.
  58. 1 2 M. Kadler; E. Ros; M. Perucho; Y. Y. Kovalev; D. C. Homan; I. Agudo; K. I. Kellermann; M. F. Aller; H. D. Aller; M. L. Lister; J. A. Zensus (September 23, 2005). Superluminal Motions in the Jet of 3C 111. West Virginia USA: National Radio Astronomy Observatory. Retrieved 2014-03-17.
  59. 1 2 Ann Wehrle; et al. (1998). Apparent Superluminal Motion in 3C279. West Virginia, USA: National Radio Astronomy Observatory. Retrieved 2014-03-16.
  60. 1 2 Robert Hjellming; Michael Rupen (September 1994). X-Ray Nova GRO J1655-40. West Virginia USA: National Radio Astronomy Observatory. Retrieved 2014-03-16.
  61. 1 2 3 4 K. I. Kellermann; M. L. Lister; D. C. Homan; E. Ros; J. A. Zensus; M. H. Cohen; M. Russo; R. C. Vermeulen (2003). L.O. Takalo and E. Valtaoja. ed. Superluminal Motion and Relativistic Beaming in Blazar Jets, In: High Energy Blazar Astronomy. 299. Astronomical Society of the Pacific. pp. 117-24. http://www.cv.nrao.edu/2cmsurvey/pub/kik_turku03.pdf. Retrieved 2014-03-16.
  62. 1 2 3 4 5 D. H. Hough; A. C. S. Readhead (October 1, 1987). "Superluminal Motion in the Double-lobed Quasar 3C 245". The Astrophysical Journal 321 (10): L11-15. doi:10.1086/184997. http://adsabs.harvard.edu/abs/1987ApJ...321L..11H. Retrieved 2014-03-18.
  63. N. Bartel; T. A. Herring; M. I. Ratner; I. I. Shapiro; B. E. Corey (February 27, 1986). "VLBI limits on the proper motion of the 'core' of the superluminal quasar 3C345". Nature 319 (02): 733-8. doi:10.1038/319733a0. http://adsabs.harvard.edu/abs/1986Natur.319..733B. Retrieved 2014-03-17.
  64. W. Alef; S. Y. Wu; E. Preuss; K. I. Kellermann; Y. H. Qiu (April 1996). "3C 390.3: a lobe-dominated radio galaxy with a possible superluminal nucleus Results from VLA observations and VLBI monitoring at 5GHz". Astronomy and Astrophysics 308 (04): 376-80. http://adsabs.harvard.edu/abs/1996A&A...308..376A. Retrieved 2013-12-12.
  65. A.Augusto Alves Jr. (2008). "The LHCb Detector at the LHC". JINST 3 S08005.
  66. M.Adinolfi (2012). "Performance of the LHCb RICH detector at the LHC". http://arxiv.org/abs/arXiv:1211.6759.
  67. Margaret J. Penston (14 August 2002). The electromagnetic spectrum. Particle Physics and Astronomy Research Council. Retrieved 17 August 2006.

Further reading

  • D. C. Gabuzda; J. F. C. Wardle; D. H. Roberts (January 15, 1989). "Superluminal motion in the BL Lacertae object OJ 287". The Astrophysical Journal 336 (1): L59-62. doi:10.1086/185361. 
  • David H. Roberts; Denise C. Gabuzda; John F. C. Wardle (December 15, 1987). "Linear polarization structure of the BL Lacertae object OJ 287 at milliarcsecond resolution". The Astrophysical Journal 323 (12): 536-42. doi:10.1086/165849. 

{{Charge ontology}}

This article is issued from Wikiversity. The text is licensed under Creative Commons - Attribution - Sharealike. Additional terms may apply for the media files.