Capillaria
See also: capillaria
Translingual

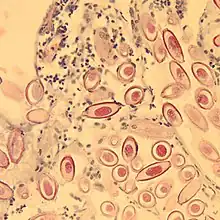
Eggs of Capillaria hepatica
Proper noun
Capillaria f
- A taxonomic genus within the family Capillariidae – slender white nematode worms that include serious pathogens of the digestive tract of fowls and some tissue and organ parasites of mammals.
Hypernyms
- (genus): Eukaryota - superkingdom; Animalia - kingdom; Bilateria - subkingdom; Protostomia - infrakingdom; Nematoda - phylum; Dorylaimea - class; Trichocephalia - subclass; Trichocephalida - order; Capillariidae - family
Hyponyms
Derived terms
References
Capillaria (nematode) on Wikipedia.Wikipedia
Capillaria on Wikispecies.Wikispecies
Capillaria on Wikimedia Commons.Wikimedia Commons - Capillaria at National Center for Biotechnology Information
This article is issued from Wiktionary. The text is licensed under Creative Commons - Attribution - Sharealike. Additional terms may apply for the media files.