Russell body
English

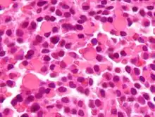
plasmacytoma with abundant Russell bodies (pink, large and homogenous inclusions), H&E stained.
Etymology
Named for William Russell (1852-1940), a Scottish physician.
Noun
Russell body (plural Russell bodies)
- (microbiology) A PAS+, eosinophilic, cytoplasmic immunoglobulin-containing inclusion consisting of distended endoplasmic reticulum, usually found in abnormal plasma cells.
Related terms
This article is issued from Wiktionary. The text is licensed under Creative Commons - Attribution - Sharealike. Additional terms may apply for the media files.