anodontia
English
WOTD – 20 March 2024
Etymology
.jpg.webp)
From an- (prefix meaning ‘lacking, without’) + -odontia (suffix forming nouns denoting the condition of teeth).[1][2]
Pronunciation
- (Received Pronunciation) IPA(key): /æn.ə(ʊ)ˈdɒn.tɪ.ə/
- (General American) IPA(key): /ˌæn.əˈdɑn.ʃi.ə/, /ˌæn.əˈdɑn.ʃə/
Audio (US) (file) - Hyphenation: an‧od‧ont‧ia
Noun
anodontia (countable and uncountable, plural anodontias)
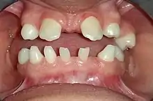
- (dentistry, teratology) The congenital absence of some or all primary or permanent teeth, caused by a rare genetic disorder.
Hyponyms
Coordinate terms
Derived terms
Related terms
Translations
congenital absence of teeth
|
References
- “anodontia, n.”, in OED Online
, Oxford, Oxfordshire: Oxford University Press, July 2023. - “anodontia, n.”, in Dictionary.com Unabridged, Dictionary.com, LLC, 1995–present, reproduced from Stuart Berg Flexner, editor in chief, Random House Unabridged Dictionary, 2nd edition, New York, N.Y.: Random House, 1993, →ISBN.
Portuguese
This article is issued from Wiktionary. The text is licensed under Creative Commons - Attribution - Sharealike. Additional terms may apply for the media files.