smudge cell
English

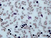
Micrograph of peripheral blood from a case of lymphocytic leukaemia showing smear cells (Giemsa stain)
Noun
smudge cell (plural smudge cells)
- (hematology) cell remnant, most often seen with abnormally fragile lymphocytes in afflictions such as chronic lymphocytic leukemia (CLL), but also occurring in degenerating samples
Synonyms
- basket cell, smear cell
- Gumprecht's shadow, Gumprecht shadow, shadow cell of Gumprecht
This article is issued from Wiktionary. The text is licensed under Creative Commons - Attribution - Sharealike. Additional terms may apply for the media files.