CHGA
Available structures
PDBOrtholog search: PDBe RCSB
Identifiers
AliasesCHGA, CGA, chromogranin A, Chromogranin A, PHES, PHE5
External IDsOMIM: 118910 MGI: 88394 HomoloGene: 976 GeneCards: CHGA
Orthologs
SpeciesHumanMouse
Entrez

1113

12652

Ensembl

ENSG00000276781
ENSG00000100604

ENSMUSG00000021194

UniProt

P10645

P26339

RefSeq (mRNA)

NM_001275
NM_001301690

NM_007693

RefSeq (protein)

NP_001266
NP_001288619
NP_001288619.1

NP_031719

Location (UCSC)Chr 14: 92.92 – 92.94 MbChr 12: 102.52 – 102.53 Mb
PubMed search[3][4]
Wikidata
View/Edit HumanView/Edit Mouse

Chromogranin A or parathyroid secretory protein 1 (gene name CHGA) is a member of the granin family of neuroendocrine secretory proteins. As such, it is located in secretory vesicles of neurons and endocrine cells such as islet beta cell secretory granules in the pancreas. In humans, chromogranin A protein is encoded by the CHGA gene.[5]

Tissue distribution

Examples of cells producing chromogranin A (ChgA) are chromaffin cells of the adrenal medulla, paraganglia, enterochromaffin-like cells and beta cells of the pancreas. It is present in islet beta cell secretory granules. chromogranin-A (CgA)+ Pulmonary neuroendocrine cells account for 0.41% of all epithelial cells in the conducting airway, but are absent from the alveoli.

Function

Chromogranin A is the precursor to several functional peptides including vasostatin-1, vasostatin-2, pancreastatin, catestatin and parastatin. These peptides negatively modulate the neuroendocrine function of the releasing cell (autocrine) or nearby cells (paracrine).

Chromogranin A induces and promotes the generation of secretory granules such as those containing insulin in pancreatic islet beta cells.

Clinical significance

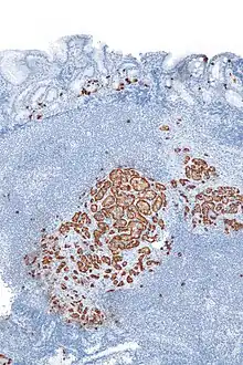
Micrograph of a paraganglioma stained with chromogranin A immunostain.

Chromogranin A is elevated in pheochromocytomas.[6] It has been identified as autoantigen in type 1 diabetes.[7] A peptide fragment of ChgA located in the Vasostatin-1, namely ChgA29-42 has been identified as the antigenic epitope recognized by diabetogenic BDC2.5 T cells from type 1 diabetes prone NOD mice.[8][9]

It is used as an indicator for pancreas and prostate cancer[10] and in carcinoid syndrome.[11][12] It might play a role in early neoplasic progression. Chromogranin A is cleaved by an endogenous prohormone convertase to produce several peptide fragments. See chromogranin A GeneRIFs for references. In immunohistochemistry it can be used to identify a range of neuroendocrine tumours and is highly specific for both benign and malignant cells of this type.[13]

Mass spec data shows that several peptides originating from CHGA (163-194; 194–214; 272–295;) are significantly lower in samples from ulcerative colitis patients compared to control biopsies.[14]

There are considerable differences in the amino acid composition between different species' chromogranin A . Commercial assays for measuring human CGA can usually not be used for measuring CGA in samples from other animals. Some specific parts of the molecule have a higher degree of amino acid homology and methods where the antibodies are directed against specific epitopes can be used to measure samples from different animals.[15] Region-specific assays measuring defined parts of CGA, CGB and SG2 can be used for measurements in samples from cats and dogs.[16][17][18][19][20] In dogs, the catestatin concentration showed weak negative associations with left atrial and ventricular sizes and the catestatin concentration showed weak positive associations with blood pressure.[21]

Variants

Variants exist for pancreastatin in various populations of the world. The variant Glycine297Serine has been shown to be more potent in inhibiting insulin-induced glucose uptake, resulting in higher risk of insulin resistance and diabetes among carriers of this variant. A team of researchers led by the Indian Institute of Technology Madras has found that the Glycine297Serine variation was present in approximately 15 percent of Indian and other South Asian populations.[22] [23]

References

  1. 1 2 3 ENSG00000100604 GRCh38: Ensembl release 89: ENSG00000276781, ENSG00000100604 - Ensembl, May 2017
  2. 1 2 3 GRCm38: Ensembl release 89: ENSMUSG00000021194 - Ensembl, May 2017
  3. "Human PubMed Reference:". National Center for Biotechnology Information, U.S. National Library of Medicine.
  4. "Mouse PubMed Reference:". National Center for Biotechnology Information, U.S. National Library of Medicine.
  5. Helman LJ, Ahn TG, Levine MA, Allison A, Cohen PS, Cooper MJ, et al. (August 1988). "Molecular cloning and primary structure of human chromogranin A (secretory protein I) cDNA". The Journal of Biological Chemistry. 263 (23): 11559–63. doi:10.1016/S0021-9258(18)37995-X. PMID 3403545.
  6. Cotesta D, Caliumi C, Alò P, Petramala L, Reale MG, Masciangelo R, et al. (2005). "High plasma levels of human chromogranin A and adrenomedullin in patients with pheochromocytoma". Tumori. 91 (1): 53–8. doi:10.1177/030089160509100110. PMID 15850005. S2CID 13142518.
  7. Stadinski BD, Delong T, Reisdorph N, Reisdorph R, Powell RL, Armstrong M, et al. (March 2010). "Chromogranin A is an autoantigen in type 1 diabetes". Nature Immunology. 11 (3): 225–31. doi:10.1038/ni.1844. PMC 3166626. PMID 20139986.
  8. Nikoopour E, Sandrock C, Huszarik K, Krougly O, Lee-Chan E, Masteller EL, et al. (April 2011). "Cutting edge: vasostatin-1-derived peptide ChgA29-42 is an antigenic epitope of diabetogenic BDC2.5 T cells in nonobese diabetic mice". Journal of Immunology. 186 (7): 3831–5. doi:10.4049/jimmunol.1003617. PMID 21357258.
  9. Nikoopour E, Cheung R, Bellemore S, Krougly O, Lee-Chan E, Stridsberg M, Singh B (April 2014). "Vasostatin-1 antigenic epitope mapping for induction of cellular and humoral immune responses to chromogranin A autoantigen in NOD mice". European Journal of Immunology. 44 (4): 1170–80. doi:10.1002/eji.201343986. PMID 24443235. S2CID 13414795.
  10. Wu JT, Erickson AJ, Tsao KC, Wu TL, Sun CF (April 2000). "Elevated serum chromogranin A is detectable in patients with carcinomas at advanced disease stages". Annals of Clinical and Laboratory Science. 30 (2): 175–178. PMID 10807161.
  11. Nikou GC, Lygidakis NJ, Toubanakis C, Pavlatos S, Tseleni-Balafouta S, Giannatou E, et al. (2005). "Current diagnosis and treatment of gastrointestinal carcinoids in a series of 101 patients: the significance of serum chromogranin-A, somatostatin receptor scintigraphy and somatostatin analogues". Hepato-Gastroenterology. 52 (63): 731–741. PMID 15966194.
  12. Tomita T (August 2020). "Significance of chromogranin A and synaptophysin in pancreatic neuroendocrine tumors". Bosnian Journal of Basic Medical Sciences. 20 (3): 336–346. doi:10.17305/bjbms.2020.4632. PMC 7416176. PMID 32020844.
  13. Leong AS, Cooper K, Leong FJ (2003). Manual of Diagnostic Cytology (2 ed.). Greenwich Medical Media, Ltd. pp. 159–160. ISBN 1-84110-100-1.
  14. Kirov S, Sasson A, Zhang C, Chasalow S, Dongre A, Steen H, et al. (February 2019). "Degradation of the extracellular matrix is part of the pathology of ulcerative colitis". Molecular Omics. 15 (1): 67–76. doi:10.1039/c8mo00239h. PMID 30702115.
  15. Stridsberg M, Angeletti RH, Helle KB (June 2000). "Characterisation of N-terminal chromogranin A and chromogranin B in mammals by region-specific radioimmunoassays and chromatographic separation methods". The Journal of Endocrinology. 165 (3): 703–14. doi:10.1677/joe.0.1650703. PMID 10828855.
  16. Stridsberg M, Pettersson A, Hagman R, Westin C, Höglund O (June 2014). "Chromogranins can be measured in samples from cats and dogs". BMC Research Notes. 7 (1): 336. doi:10.1186/1756-0500-7-336. PMC 4055239. PMID 24899097.
  17. Höglund OV, Hagman R, Stridsberg M (27 March 2015). "Chromogranin A and cortisol at intraoperative repeated noxious stimuli: Surgical stress in a dog model". SAGE Open Medicine. 3: 2050312115576432. doi:10.1177/2050312115576432. PMC 4679230. PMID 26770773.
  18. Srithunyarat T, Höglund OV, Hagman R, Olsson U, Stridsberg M, Lagerstedt AS, Pettersson A (August 2016). "Catestatin, vasostatin, cortisol, temperature, heart rate, respiratory rate, scores of the short form of the Glasgow composite measure pain scale and visual analog scale for stress and pain behavior in dogs before and after ovariohysterectomy". BMC Research Notes. 9 (1): 381. doi:10.1186/s13104-016-2193-1. PMC 4969733. PMID 27484122.
  19. Srithunyarat T, Hagman R, Höglund OV, Olsson U, Stridsberg M, Jitpean S, et al. (January 2017). "Catestatin and vasostatin concentrations in healthy dogs". Acta Veterinaria Scandinavica. 59 (1): 1. doi:10.1186/s13028-016-0274-8. PMC 5210291. PMID 28049540.
  20. Srithunyarat T, Hagman R, Höglund OV, Stridsberg M, Hanson J, Lagerstedt AS, Pettersson A (April 2018). "Catestatin, vasostatin, cortisol, and visual analog scale scoring for stress assessment in healthy dogs". Research in Veterinary Science. 117: 74–80. doi:10.1016/j.rvsc.2017.11.015. PMID 29195227.
  21. Höglund K, Häggström J, Höglund OV, Stridsberg M, Tidholm A, Ljungvall I (August 2020). "The chromogranin A-derived peptides catestatin and vasostatin in dogs with myxomatous mitral valve disease". Acta Veterinaria Scandinavica. 62 (1): 43. doi:10.1186/s13028-020-00541-3. PMC 7405357. PMID 32758260.
  22. "IIT Madras-led International Research Team Identifies gene/protein variation in Indians & other South Asians that increases risk of metabolic diseases". India Education Diary. Chennai. 31 January 2022. Retrieved 2 February 2022.
  23. Allu PK, Kiranmayi M, Mukherjee SD, Chirasani VR, Garg R, Vishnuprabu D, et al. (December 2021). "Functional Gly297Ser Variant of the Physiological Dysglycemic Peptide Pancreastatin is a Novel Risk Factor for Cardiometabolic Disorders". Diabetes. 71 (3): 538–553. doi:10.2337/db21-0289. PMID 34862200. S2CID 244871964. (apparently the abstract has been released in advance of the full publication of the paper).

Further reading

  • chromogranin A antibody stains via Google Image
  • Overview of all the structural information available in the PDB for UniProt: P10645 (Chromogranin-A) at the PDBe-KB.
  • Overview of all the structural information available in the PDB for UniProt: P26339 (Mouse Chromogranin-A) at the PDBe-KB.

This article is issued from Wikipedia. The text is licensed under Creative Commons - Attribution - Sharealike. Additional terms may apply for the media files.