![]() | |
| Date | 16 September 2022 |
|---|---|
| Location | Tehran, Iran |
| Also known as | Jina Amini |
| Outcome | Mahsa Amini protests |
| Burial | Saqqez, Kurdistan Province, Iran |
On 16 September 2022, 22-year-old Iranian woman Mahsa Amini,[lower-alpha 1] also known as Jina Amini,[lower-alpha 2][1][2][3] died in a hospital in Tehran, Iran, under suspicious circumstances. The Guidance Patrol, the religious morality police of Iran's government, arrested Amini for allegedly not wearing the hijab in accordance with government standards. The Law Enforcement Command of the Islamic Republic of Iran stated that she had a heart attack at a police station, collapsed, and fell into a coma before being transferred to a hospital.[4][5] However, eyewitnesses, including women who were detained with Amini, reported that she was severely beaten and that she died as a result of police brutality,[6][7][8] which was denied by the Iranian authorities.[9] The assertions of police brutality, in addition to leaked medical scans,[10] led some observers to believe Amini had a cerebral hemorrhage or stroke due to head injuries received after her arrest.[11]
Amini's death resulted in a series of protests described by CNN as more widespread than the protests in 2009, 2017, and 2019,[12] and by The New York Times as the largest Iranian protests since at least 2009.[13] Some female demonstrators removed their hijab or publicly cut their hair as acts of protest.[14] Iran Human Rights reported that by December 2022 at least 476 people had been killed by security forces attacking protests across the country.[15][16] Amnesty International reported that Iranian security forces had, in some cases, fired into groups with live ammunition and had in other cases killed protesters by beating them with batons.[17] Amini's death ignited the global Woman, Life, Freedom movement, rooted in her Kurdish background, which demands the end of compulsory hijab laws and other forms of discrimination and oppression against women in Iran.[18]
Background
.jpg.webp)

Iran introduced a mandatory dress code for women, in accordance with their interpretation of Islamic standards, a short time after the Iranian Revolution of 1979. On 7 March, less than a month after the revolution, recently named supreme leader Khomeini decreed the hijab (Islamic headscarf) to be mandatory for all women in their workplace. He further decreed that women would no longer be allowed to enter any government office without the hijab, as they would be "naked" without it.[19][20] Khomeini said that they do not have to wear a full-body cover. He said that women can choose any kind of attire they like so long as it covers them properly and they have a hijab. His successor Ali Khamenei claimed that the hijab does not prevent social, political, or academic activities at all.[21]
Violence and harassment against women not wearing the hijab in accordance with Iranian government standards had been reported after the revolution, whether by law enforcement personnel or pro-government vigilantes.[22] From 1980, women could not enter government or public buildings or attend their workplace without a hijab. In 1983, mandatory hijab in public was introduced in the penal code, stating that "women who appear in public without religious hijab will be sentenced to whipping up to 74 lashes". In practice, however, a number of women, such as Saba Kord Afshari and Yasaman Aryani, were sentenced only to heavy prison terms.[20]
In the 2010's and 2020's, clothing in Iranian society underwent significant changes, and young women in particular have started to be more liberal about hijab rules. This has prompted the Guidance Patrol, Iran's morality police, to launch intermittent campaigns to verbally admonish or violently[23][24][25][26][27][28] arrest and "re-educate" women they considered to be wearing the hijab incorrectly. Under routine circumstances, the detainees are brought to a center where they are re-instructed in the dress regulations, before being made to sign a pledge to uphold said regulations, and then being allowed to leave with their family.[29][30]
Protests against the compulsory hijab have been common since 1979. One of the largest protests took place between 8 and 14 March 1979, beginning on International Women's Day, a day after hijab rules were introduced by the Islamic Republic.[20] Protests against mandatory hijab rules continued, such as during the 2019–2020 protests, when protesters attacked a Guidance Patrol van and freed two detained women.[31]
In 2020, two representatives of Iranian government leader Ali Khamenei separately said that improperly veiled women should be made to feel "unsafe". The representatives later backtracked and said that their comments were misunderstood.[32] Among the general population, an independent survey conducted in the same year showed that 58% of Iranians did not believe in hijab altogether, and 72% were against compulsory hijab rules. Only 15% insisted on the legal obligation to wear it in public.[33][34]
Victim
Mahsa Amini was born on 21 September 1999[35][36] to a Kurdish family in Saqqez, Kurdistan Province, in northwestern Iran.[37] While Mahsa was her official Persian given name, her Kurdish name was Jina, and this was the name her family used.[38][39] Her father is an employee in a government organization and her mother is a housewife.[40] She attended Taleghani Girls' High School in Saqqez, graduating in 2018. At the time of her death, Amini had just been admitted to university, aiming to become a lawyer.[41][42]
Amini's cousin, a left-wing political activist belonging to the Komala party and a Peshmerga fighter living in self-exile in Iraqi Kurdistan,[43] was the first member of Amini's family to speak to the media after her death.[44] He debunked claims by the Iranian government that Amini was involved in any politics.[43] Instead, Amini has been described as having been a "shy, reserved resident" of her hometown[45] who avoided politics, was never politically active as a teenager, and was not an activist.[40] Amini's family have described her as having no prior health conditions, and as being a healthy 22-year-old, contrasting the claims made by the Iranian government that she possessed prior health conditions.[46]
Circumstances of death
Amini had come to Tehran to visit her brother[37] and on 13 September 2022 was arrested by the Guidance Patrol at the entry of the Shahid Haghani Expressway in Tehran while in the company of her family. She was then transferred to the custody of Moral Security.[47][48][49] Her brother, who was with her when she was arrested,[37] was told she would be taken to the detention center to undergo a "briefing class" and released an hour later. Her brother was later informed his sister had a heart attack and a brain seizure at the police station to which she had been taken.[50] Two hours after her arrest,[50] she was taken to Kasra Hospital.[51]
According to Amini's cousin, she was tortured and insulted in the van, as witnessed by her co-detainees. After she arrived at the police station, she began to lose vision and fainted. It took 30 minutes for the ambulance to arrive, and an hour and a half for her to get to Kasra hospital.[52]
For two days, Amini was in a coma in Kasra Hospital in Tehran.[53] On 16 September, journalist Niloofar Hamedi (later arrested) broke the story of her coma, posting to Twitter a photo of Amini's father and grandmother crying and embracing in the hospital hallway.[54] Amini died in the intensive care unit later that day.[55][56][57]
Aftermath

According to the BBC, eyewitnesses said Amini was beaten by police shortly after her arrest, while in the police van. By 17 September, Iranian police were denying the allegations of beating, and were claiming she had "suffered a sudden heart failure".[58]
The clinic where Amini was treated released a statement on Instagram saying that she had already been brain dead when she had been admitted around 13 September. By 19 September, the post had been deleted.[59][60]
On 17 September, the police chief of Tehran stated that the grounds of Amini's arrest were wearing her headscarf improperly and for wearing tight pants.[61]
By 19 September, police had released CCTV footage showing a woman, who they identified as Amini, talking with an official. In the footage, the official grabs Amini's clothing, and Amini holds her head with her hands and collapses. Amini's father dismissed the footage as an "edited version" of events.[62]
Amini's brother noticed bruises on her head and legs. The women who were detained with Amini said she had been severely beaten for resisting the insults and curses of the arresting officers.[63]
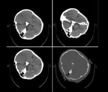
Published hospital pictures show Mahsa Amini bleeding from the ear and with bruises under her eyes. In an 18 September letter, Doctor Hossein Karampour (the top medical official in Hormozgan province), pointed out that such symptoms "do not match the reasons given by some authorities who declared the cause to be a heart attack... (they are instead consistent with) a head injury and the resulting bleeding."[64] This was also confirmed by alleged medical scans of her skull, leaked by hacktivists, showing bone fracture, hemorrhage, and brain edema.[10][65]
According to Iran International, the Iranian government was forging fake medical records for Amini, showing that she had a history of heart disease. On 20 September, Massoud Shirvani, a neurosurgeon, stated on state-owned television that Amini had a brain tumor that was extracted at the age of eight.[66]

By 21 September, the hospital had released preliminary CT scans. Government supporters stated the CT scans showed psychological stress caused by a previous brain operation; critics stated the scans showed physical beating and trauma. The Iranian government stated Amini had a brain operation at the age of five.[67]
Regarding various government claims, Mahsa Amini's father (Amjad Amini) told the BBC around 22 September that "they are lying... She never had any medical conditions, she never had surgery." (Two classmates, interviewed by the BBC, said that they weren't aware of Mahsa ever being in hospital.) Amjad said he had not been allowed to view his daughter's autopsy report. He denied that Mahsa had been in bad health. "I asked them to show me the body-cameras of the security officers, they told me the cameras were out of battery." Iranian authorities had charged that Mahsa was wearing immodest clothes when arrested; Amjad rejected this claim, stating that she always wore a long overcoat. Amjad said he was repeatedly prevented by medical staff from seeing his daughter's body after her death: "I wanted to see my daughter, but they wouldn't let me in", and charged that when he asked to see the autopsy report, he was told by the doctor: "I will write whatever I want and it has nothing to do with you." Amjad saw the body after it had been wrapped for the funeral, and noticed bruises on her feet, but could not see the rest of the body due to the wrapping. Iranian authorities denied any head injuries or internal injuries.[68]
According to Iran International, on 29 September an audio file was released by a former commander of Iran's Revolutionary Guards Corps, which reported unnamed "reliable sources" saying that the reason for Mahsa Amini's death was an injury to her skull and that the injury was the result of a severe beating.[69][70][71]
The Amini family's lawyer, Saleh Nikbakht, told the Etemad online news website that "respectable doctors" believe Mahsa was hit while in custody.[72] Nikbakht also said the family wants a fact-finding committee to probe her death, and that police footage filmed after her arrest should be handed over.[73]
By 2 October, Amini's family had acknowledged that Amini had an operation for a minor neurological condition (possibly a brain tumor) at the age of eight, but said it had been under control through levothyroxine (a medication to treat hypothyroidism), and that her doctors had recently given her the all-clear. Citing medical specialists they had consulted, the family stated the condition was unrelated to Amini's death.[74][75][76]
A 7 October coroner's report stated that Amini's death was "not caused by blows to the head and limbs" and instead linked her death to pre-existing medical conditions, ruling that she had died from multiple organ failure caused by cerebral hypoxia. The report stated Amini had had a brain tumor operation when she was eight. The report did not say whether Amini had suffered any injuries.[77]
In a 13 October letter, over 800 members of Iran's Medical Council accused the head of Iran's Medical Council of assisting in a government cover-up of the cause of Mahsa Amini's death.[78]
In an 8 December article, Der Spiegel confirmed with Amini's grandfather that Amini had a brain tumor removed when she was an elementary school student. Amini's grandfather emphasized that the tumor was benign, and stated that she never had any health problems since the operation. Der Spiegel also relayed a report from one her two cousins present at Amini's arrest, stating that Amini had been forced into the arrest vehicle by the morality police.[79]
Protests
An ongoing series of protests and civil unrest against the government of Iran began in Tehran on 16 September 2022[80] as a reaction to the death of Amini that day following police custody, after she was arrested by the Guidance Patrol for wearing an "improper" hijab—in violation of Iran's mandatory hijab law—while visiting Tehran from Saqqez. According to eyewitnesses, Amini was severely beaten by Guidance Patrol officers—an assertion denied by Iranian authorities.[81][82]
The protests began hours after Amini's death, starting at the hospital in Tehran where she was treated and quickly spreading to other parts of the country, first to Amini's hometown of Saqqez and other cities in the Kurdistan Province, including Sanandaj, Divandarreh, Baneh, and Bijar.[83][84] In response to these demonstrations, beginning around 19 September the Iranian government implemented regional shutdowns of Internet access. As protests grew, a widespread Internet blackout was imposed along with nationwide restrictions on social media.[85][86] In response to the protests, people held demonstrations in support of the government across several cities in Iran, in an attempt to counter the protests.[87] The Iranian government has referred to these counter-protests as "spontaneous".[87] The pro-government protesters called for the anti-government protesters to be executed, and have referred to them as "Israel's soldiers", whilst shouting "Death to America" and "Death to Israel", reflecting Iran's clerical rulers' usual narrative of putting the blame of the unrest on foreign countries.[87] On 3 October, in his first statement since the outbreak of the protests, Supreme Leader Ayatollah Ali Khamenei dismissed the widespread unrest as "riots", and likewise tried to cast it as a foreign plot.[88][89]
The inscription on Amini's tombstone reads in Kurdish:
Some sources use "rallying call"[92] or "symbol"[93] rather than "code" when translating the epitaph.
According to Iran Human Rights, as of 8 October 2022 at least 185 people[94] have been killed as a result of the government's intervention in the protests, involving tear gas and live rounds,[95][96][97] making the protests the deadliest since the 2019–2020 protests that resulted in more than 1,500 fatalities.[98] The government's response to the protests has largely been condemned, and the United States Department of the Treasury has sanctioned the Guidance Patrol and several high-ranking Iranian officials.
On the streets
.jpg.webp)
On 17 September, hours after Amini died, demonstrators gathered outside Kasra Hospital in Tehran, where Amini had been treated. Human rights groups reported that security forces deployed pepper spray against protesters and that several were arrested.[99] Then a series of protests broke out over Amini's death, including in Saqqez, her hometown.[100] Some shouted "death to the dictator", and Kurdish feminist slogans such as "woman, life, freedom".[101][102][100]
A spokesperson for Hengaw, a Kurdish human rights group, stated that "the security institutions forced the Amini family to hold the funeral without any ceremony to prevent tensions."[101]
On social media
Amini's beating and death caused widespread anger among several social networks. The hashtag #MahsaAmini became one of the most repeated hashtags on Persian Twitter. The number of tweets and retweets of these hashtags have exceeded 80 million.[103][104] Some Iranian women posted videos on social media of themselves cutting their hair in protest.[105] It was reported on 21 September that the Iranian government had blocked internet access to Instagram and WhatsApp and disrupted internet service in Kurdistan and other parts of Iran in an attempt to silence the unrest.[106] As of 24 September, the hashtag #Mahsa_Amini and its equivalent in Persian broke the Twitter record with more than 80 million tweets.[107][108] According to Professor Marc Owen Jones at Hamad Bin Khalifa University, of 108,000 accounts in a sample of online protestors, 13,000 were created in the month of September 2022, suggesting thousands of the accounts may be fake, presumably by pro- or anti-government manipulators.[109]
Reactions
In Iran
Amini's father was interviewed by various international media about his daughter's death and answered the claims of Iranian government officials.[110] In a phone call with him, the president of Iran, Ebrahim Raisi, expressed regret over Amini's death. The governor of Kurdistan Province personally went to Amini's father's house and consoled him about the death of his daughter.[111] In an interview with BBC Persian, the father accused the authorities of lying about her death and noted that every time he was asked how he thinks she died, his response was mysteriously cut from local news broadcasts. He stressed that the authorities refused to let him see his daughter at the clinic, and that when he finally saw her body before the funeral, it was completely wrapped except for the face and feet, which had mysterious bruises.[112][113]
The well-known Iranian lawyer, Saeed Dehghan, described Amini's death as "murder".[114]
Supreme Leader of Iran Ali Khamenei called it a "bitter incident" and said that his "heart was broken for the young girl". But, also said "this chaos was planned," referring to the protests.[115] President Ebrahim Raisi said that the death of Mahsa Amini will be "pursued," calling it a "tragic incident," but said that "chaos is unacceptable".[116][117] He further accused western countries of "double standards" regarding human rights, adding "What about all the people killed by American police? Did all these deaths get investigated?".[118]
On 17 September, Iranian Grand Ayatollah[119] Ayatollah Bayat-Zanjani described the Guidance Patrol as "not only an illegal and anti-Islamic body, but also illogical." He said it was unsupported by Iran's laws and engaged in "repression and immoral acts".[120]
In October 2022, Amini's family complained about receiving death threats to warn them against attending the protests.[121]
Investigation
President Ebrahim Raisi asked Interior Minister Ahmad Vahidi to investigate the cause of her death thoroughly.[122] In early October the Legal Medical Organization of the Irans judiciary reasoned Amini had died due to underlying disease stemming from brain surgery she had at the age of eight.[123]
International institutions and organizations
- Amnesty International requested a criminal investigation into the suspicious death. According to this organization, "all responsible officers and officials" in this case must be brought to justice and "the conditions leading to her suspicious death, which include torture and other ill-treatment in the detention center, must be investigated criminally."[124][125][126]
- Human Rights Watch called Amini's death "cruel" and demanded from the Iranian authorities to end the mandatory hijab law and enhance the women rights situation in the country.[127][128]
- Additional concerns were raised by the group at the apparent lethal force retaliation by government officials to the protests.[129]
- The Center for Human Rights in Iran declared Amini another victim of the Islamic Republic's "war on women" and stated that the tragedy should be strongly condemned worldwide to prevent further violence against women in Iran.[130]
- Humanists International called for those responsible for the murder of Amini "to be held accountable", condemned Iran's "strictly enforced patriarchal religious norms", and added that "compulsory veiling is a human rights violation, and that appeals to religious 'morality' can never be used to police women's choices, or to invalidate their equal dignity and worth".[131]
- The United Nations announced that the death and alleged torture of Amini should be investigated independently.[132][133] A joint statement by UN experts "strongly condemned the death of 22-year-old Mahsa Amini, who died in police custody".[134]
Politicians
Politicians such as Bill Clinton, Hillary Clinton, Nancy Pelosi, Nikki Haley, Jim Risch, Farah Pahlavi, Masoud Barzani, Justin Trudeau, Masud Gharahkhani, Annalena Baerbock, Mélanie Joly, and others reacted to Amini's death.[135][136]
- Javaid Rehman, United Nations special rapporteur, expressed his regret for the behavior of the Islamic Republic of Iran and added: "This incident is a sign of widespread violation of human rights in Iran."[137]
- France's Ministry of Foreign Affairs condemned the torture that led to Amini's death.[138]
- United States Secretary of State Antony Blinken condemned the killing in the custody of Iranian police forces and demanded an end to such actions by the Iranian government.[139][140]
- Mohaqeq Damad said, "The establishment of the force for promotion of virtues and prevention of vice is in fact meant to monitor the rulers' actions, not to crack down on the citizens' freedoms and is a deviation from Islamic teachings."[141]
- Chilean president Gabriel Boric, during his speech at the UN General Assembly, paid tribute to Amini and called for an end to the abuse of power by the powerful around the world.[142]
- Selahattin Demirtaş, the imprisoned former Co-chair of the pro-Kurdish Peoples' Democratic Party (HDP) shaved his head together with his cellmate Adnan Mizrakli, the former Mayor of Diyarbakir.[143]
- Several European Union officials have condemned her death.[144] Josep Borrell, the EU foreign policy chief called her death "unacceptable".[144] A spokesperson issued a statement announcing that what happened to Amini is unacceptable and the perpetrators of this killing must be held accountable.[145]
- US President Joe Biden, in the annual speech of world leaders to the United Nations on 21 September, referred to the situation of women in Iran and Amini's death and vowed solidarity with Iranian women.[146]
- Robert Malley, the representative of the US in Iranian affairs, called Amini's death "horrific" and wrote: "Mahsa Amini’s death after injuries sustained in custody for an "improper" hijab is appalling. Our thoughts are with her family. Iran must end its violence against women for exercising their fundamental rights."[147]
- Olaf Scholz, Chancellor of Germany, called Amini's death in police custody "terrible", and expressed his sadness at the deaths of "the brave women" at the protests. He added that women should be able to make their own decisions, and not live in fear.[148]
- On 26 October 2022, women foreign ministers from a dozen nations led by Canada's Melanie Joly jointly condemned Iran's violent crackdown on women's rights. In a joint statement they said: "As women foreign ministers, we feel a responsibility to echo the voices of Iranian women".[149]
Celebrities
A number of celebrities and others reacted to Amini's death.[150][151]
- American actress Leah Remini wrote on Twitter: "Killing of Mahsa Amini is unacceptable under any circumstances, but the fact that she was arrested for wearing an inappropriate hijab makes it even more appalling."[152][153]
- Khaby Lame, an Italian influencer of Senegalese origin, wrote on his Instagram page, "The biggest war for women's rights and human rights is happening in Iran. If you live on earth and remain silent, you will never be able to speak about women's rights again."[154]
- British Iranian comedian and author Shaparak Khorsandi, whose family fled Iran following the revolution, said "The Iranian regime kills women for trying to live freely. This is not just Iran's problem, it is the world's problem. Do not look away. This denial of basic human rights is an affront to human dignity. Mahsa Amini cannot speak up any more. The world should act in solidarity and amplify her voice and the voices of all Iranian women who dare to speak up for choice and democracy".[155]
- Australian actor Nathaniel Buzolic, publishing a picture of Amini on his Instagram, asked: "Where are the feminists? Why is the world silent?"[156]
- Turkish actress Nurgül Yeşilçay published a picture of Amini in her Instagram story and wrote: "It's unfortunate... Alas for all the women in the world."[157][158]
- J. K. Rowling, author of the Harry Potter novels, posted on Twitter, "Then the rest of the world needs to keep saying her name. #MahsaAmini died aged 22 in police custody because she violated hijab regulations. Solidarity with all Iranians currently protesting."[132]
Others
- The decentralized hacker group Anonymous claimed to have disrupted several Iranian government and state-affiliated media websites in support of the protests and released a video announcing the group's support of the protests along with footage of the protests.[159]
- The 2023 installment of the PaykanArtCar art project by Simin Keramati was a tribute to Amini.[160]
In the arts
Iranian Australian photographer Hoda Afshar created a series of 12 photographs for a September 2023 exhibition at the Art Gallery of New South Wales in Sydney. Called In Turn, the photographic series features four Iranian Australian women dressed in black and white, plaiting one another's hair, and first holding a white dove and then releasing it. The series is based on a kind of ritualistic practice performed by Kurdish female fighters before setting out to fight Islamic State, and was created as a response to Amini's death.[161]
Sanctions
Following Amini's death and the associated protests, countries and entities such as the United States, Canada, the United Kingdom, and the European Union sanctioned Iran over human rights violations relating to Amini's death and the subsequent protests.[162]
See also
Notes
- ↑ Persian: مهسا امینی
- ↑ sometimes also transliterated as Zhina Amini; Persian: ژینا امینی, romanized: Žīnā Amīnī; Kurdish: ژینا ئەمینی, romanized: Jîna Emînî. See Romanization of Persian and Comparison of Kurdish alphabets.
References
- ↑ "Fury in Iran as young woman dies following morality police arrest". BBC News. 16 September 2022. Retrieved 11 December 2022.
- ↑ Roth, Artemis Moshtaghian, Jomana Karadsheh, Caitlin Hu, Kathleen Magramo, Sahar Akbarzai, Richard (24 September 2022). "Young Iranians are rising up against decades of repression -- arguably bolder than ever". CNN. Retrieved 11 December 2022.
{{cite web}}: CS1 maint: multiple names: authors list (link) - ↑ "Mahsa Amini's brutal death may be moment of reckoning for Iran". the Guardian. 20 September 2022. Retrieved 11 December 2022.
- ↑ "Three killed in protests over Iranian woman Mahsa Amini's death in custody". Canadian Broadcasting Corporation. 20 September 2022. Archived from the original on 20 September 2022. Retrieved 22 September 2022.
- ↑ "Arrest by hijab police leaves woman comatose". Al-Monitor. 15 September 2022. Archived from the original on 18 September 2022. Retrieved 22 September 2022.
- ↑ Mehsa Amini's death "due to injury to the skull"; A former IRGC commander informed about the forensic report, BBC News, 29 September 2022
- ↑ Fazeli, Yaghoub (16 September 2022). "Iranian woman 'beaten' by police for 'improper hijab' dies after coma: State media". Al Arabiya. Archived from the original on 16 September 2022. Retrieved 16 September 2022.
- ↑ "IranWire Exclusive: Morality Patrol Beats a Woman into a Coma". Iranwire.com. 15 September 2022. Archived from the original on 24 September 2022. Retrieved 18 September 2022.
- ↑ "Iranian coroner denies Mahsa Amini died from blows to body". Al Jazeera. Retrieved 13 October 2022.
- 1 2 "Mahsa Amini's medical scans show skull fractures caused by 'severe trauma': Report". Al Arabiya. 19 September 2022. Archived from the original on 24 September 2022. Retrieved 22 September 2022.
- ↑ Brase, Jörg (20 September 2022). "Irans Opposition hat vor allem eine Schwäche" [Above all, Iran's opposition has one weakness]. ZDF (in German). Archived from the original on 24 September 2022. Retrieved 22 September 2022.
- ↑ "A barrier of fear has been broken in Iran. The regime may be at a point of no return". CNN. 5 October 2022. Retrieved 10 October 2022.
- ↑ Fassihi, Farnaz (24 September 2022). "Iran Protests Surge to Dozens of Cities". The New York Times. Archived from the original on 2 October 2022. Retrieved 3 October 2022.
- ↑ "Iranian women burn their hijabs as hundreds protest death of Mahsa Amini". CNN. 21 September 2022. Retrieved 10 October 2022.
- ↑ "At Least 100 Protesters Facing Execution, Death Penalty Charges or Sentences; At Least 476 Protesters Killed". iranhr.net. Retrieved 28 December 2022.
- ↑ "Women Students Tell Iran's President to 'Get Lost' as Unrest Rages". VOA. October 2022. Retrieved 10 October 2022.
- ↑ "Amnesty: Iran Ordered Forces to 'Severely Confront' Protests". VOA. 2022. Retrieved 10 October 2022.
- ↑ "Woman, Life, Freedom | Iran, Movement, History, & Jina Mahsa Amini". Encyclopedia Britannica. 20 October 2023. Retrieved 22 November 2023.
- ↑ "The Stolen Revolution: Iranian Women of 1979". Canadian Broadcasting Corporation. 8 March 2019. Archived from the original on 16 March 2022. Retrieved 24 September 2022.
- 1 2 3 Thirty-five Years of Forced Hijab: The Widespread and Systematic Violation of Women's Rights in Iran (PDF) (Report). Justice for Iran. March 2014. Archived (PDF) from the original on 19 January 2022. Retrieved 24 September 2022.
- ↑ "Part 4: Khomeini & Khamenei on Women". 8 December 2020.
- ↑ Fazeli, Yaghoub (11 March 2020). "Video: Man attacks woman in Iran for being a 'bad hijab'". Al Arabiya. Archived from the original on 6 March 2022. Retrieved 23 September 2022.
- ↑ "خشونت گشت ارشاد به زنان ایران؛ موضوعی ادامهدار". radiozamaneh.com (in Persian). 25 November 2015. Retrieved 27 September 2022.
- ↑ "گشت ارشاد و تجاوز به زنان ابزارهایی برای کنترل". تریبون زمانه. Retrieved 27 September 2022.
- ↑ فردا, رادیو (22 September 2022). "آمریکا "پلیس امنیت اخلاقی" ایران را بهدلیل "خشونت علیه زنان" تحریم کرد". رادیو فردا (in Persian). Retrieved 27 September 2022.
- ↑ The harsh treatment of the Irshad patrol endangers the hijab, Tabnak, 2022
- ↑ "حقوق شهروندی | پرت شدن یک زن از ون گشت ارشاد؛ متهم شدن سپیده رشنو به تشویق فساد و فحشا". صدای آمریکا (in Persian). 20 August 2022. Retrieved 27 September 2022.
- ↑ Attacks of Islamic guidance patrols on the streets and naked violence against women, Keyhan London, 2022
- ↑ "Mahsa Amini's death sparks anger towards Iran's morality police". Al Jazeera. 23 September 2022. Archived from the original on 24 September 2022. Retrieved 23 September 2022.
- ↑ IRAN Criminal procedures and documents (PDF) (Report). December 2021. pp. 20, 63, 108. Archived (PDF) from the original on 19 January 2022. Retrieved 23 September 2022.
- ↑ Qiblawi, Tamara (20 February 2019). "Iranians attack police after women detained for wearing hijabs 'improperly'". CNN. Archived from the original on 23 June 2022. Retrieved 23 September 2022.
- ↑ Fazeli, Yaghoub (5 October 2020). "'Improperly veiled' women should be made to feel unsafe, say Iran supreme leader reps". Al Arabiya. Archived from the original on 16 June 2022. Retrieved 23 September 2022.
- ↑ Maleki, Ammar; Arab, Pooyan Tamimi (August 2020). IRANIANS' ATTITUDES TOWARD RELIGION: A 2020 SURVEY REPORT (PDF) (Report). The Group for Analyzing and Measuring Attitudes in IRAN (GAMAAN). Archived (PDF) from the original on 11 September 2022. Retrieved 25 September 2022.
- ↑ "The Observer view on the backlash in Iran following the death of Mahsa Amini". The Guardian. 25 September 2022. Archived from the original on 25 September 2022. Retrieved 25 September 2022.
- ↑ Iran: Mahsa Amini's father accuses authorities of a cover-up
- ↑ Exclusive: Family Confirm the Regime's Claims About Mahsa Amini are Lies
- 1 2 3 Rogg, Inga (29 September 2022). "Who was Mahsa Amini, the face of mass protests in Iran". Neue Zürcher Zeitung (in German). Retrieved 2 October 2022.
- ↑ "Iran protests: Mahsa Amini's family receiving death threats, cousin says". BBC News. 10 October 2022. Retrieved 10 October 2022.
- ↑ Çiçek, Meral (4 October 2022). "Jîna 'Mahsa' Amini Was Kurdish And That Matters". Novara Media. Retrieved 11 October 2022.
- 1 2 Jerusalem, Inga Rogg. "Who was Mahsa Amini, the face of mass protests in Iran". Neue Zürcher Zeitung (in German). Retrieved 8 October 2022.
- ↑ "Woman Who Died After Arrest By Iran's Morality Police Buried Amid Chants Of 'Death to the Dictator'". RadioFreeEurope/RadioLiberty. Retrieved 10 October 2022.
- ↑ Mahsa Amini's family files complaint in Iran over her arrest, Alarabia, 29 September 2022
- 1 2 "Mahsa Amini was 'insulted and tortured' before death: cousin". english.alaraby.co.uk/. 26 September 2022. Retrieved 8 October 2022.
- ↑ Iran: Mahsa Amini was 'insulted and tortured' before her death, cousin tells UK media, The New Arab, 26 September 2022
- ↑ Hafezi, Parisa (28 September 2022). "Iranian woman whose death led to mass protests was shy and avoided politics". Reuters. Retrieved 10 October 2022.
- ↑ "Iranians are Furious after a Young Woman Dies While in Custody of the Hijab Police". Zamaneh Media. 16 September 2022. Retrieved 8 October 2022.
- ↑ "(Video) Mahsa Amini is the latest victim of the misogynist mullahs' regime in Iran". EIN Presswire. Associated Press. 19 September 2022. Archived from the original on 24 September 2022. Retrieved 22 September 2022.
- ↑ "Indignación en Irán por el coma de una joven tras ser detenida por la Policía" [Outrage in Iran over the coma of a young woman after being detained by the Police]. swissinfo.ch (in Spanish). Swissinfo. 15 September 2022. Archived from the original on 17 September 2022. Retrieved 18 September 2022.
- ↑ "Iran: Woman in coma after her arrest by Tehran's morality police". alaraby.co.uk. The New Arab. 15 September 2022. Archived from the original on 15 September 2022. Retrieved 22 September 2022.
- 1 2 "Iranian woman in coma after morality police arrest: activists". France 24. Agence France-Presse. 15 September 2022. Archived from the original on 15 September 2022. Retrieved 18 September 2022.
- ↑ "Hijab Victim Suffered Repeated Blows To Her Head – Hospital Source". Iran International. Retrieved 2 October 2022.
- ↑ "Mahsa Amini was 'tortured and insulted' before death in police custody in Iran, her cousin says". Sky News. 25 September 2022.
- ↑ Saaberi, Arezou (15 September 2022). "Mahsa Amini: Arrested For Islamic Guidance, Ended Up Brain Dead!". IranTrue. Archived from the original on 15 September 2022. Retrieved 18 September 2022.
- ↑ Moshtaghian, Artemis (13 October 2022). "More than a thousand protesters have been arrested in Iran. Here are three of their stories". CNN. Retrieved 20 October 2022.
- ↑ KHRN (16 September 2022). "Iran: Kurdish woman dies after arrest and torture by morality police in Tehran". Kurdistan Human Rights Network. Archived from the original on 17 September 2022. Retrieved 18 September 2022.
- ↑ Fazeli, Yaghoub (16 September 2022). "Iranian woman 'beaten' by police for 'improper hijab' dies after coma: State media". Al Arabiya. Archived from the original on 16 September 2022. Retrieved 16 September 2022.
- ↑ Rothwell, James (16 September 2022). "Iranian woman dies after beating by 'morality police' for not wearing headscarf". The Telegraph. ISSN 0307-1235. Archived from the original on 17 September 2022. Retrieved 18 September 2022.
- ↑ "Mahsa Amini: Women take headscarves off in protest at funeral". BBC News. 17 September 2022. Retrieved 21 October 2022.
- ↑ "Landesweite Proteste nach Tod von Mahsa Amini" [Nationwide protests after Mahsa Amini's death] (in German). Deutsche Welle. 19 September 2022. Archived from the original on 19 September 2022. Retrieved 19 September 2022.
Die Klinik, in der die 22-Jährige behandelt wurde, hatte nach ihrem Tod auf einem inzwischen gelöschten Post bei Instagram geschrieben, dass Amini bereits bei der Aufnahme hirntot gewesen sei.
- ↑ "مهسا امینی بر اثر جراحات ناشی از ضرب و جرح ماموران گشت ارشاد درگذشت" [Mahsa Amini died as a result of the injuries caused by the assault by the officers of the Irshad patrol] (in Persian). Al Arabiya. 16 September 2022. Archived from the original on 16 September 2022. Retrieved 24 September 2022.
- ↑ Motamedi, Maziar (2022). "Iran denies Mahsa Amini, woman who died in custody, was beaten". Al Jazeera. Retrieved 21 October 2022.
- ↑ "Mahsa Amini: Iran police say woman's death was 'unfortunate'". BBC News. 19 September 2022. Retrieved 21 October 2022.
- ↑ "Father of Kurdish woman killed in Iran says daughter was beaten". Rudaw Media Network. 19 September 2022. Archived from the original on 19 September 2022. Retrieved 25 September 2022.
- ↑ "Iranian Medical Official Says Amini's Death Caused By Head Injury, Rejects Official Version". Radio Free Europe/Radio Liberty. 20 September 2022. Archived from the original on 20 September 2022. Retrieved 24 September 2022.
- ↑ "Mahsa Amini's CT Scan Shows Skull Fractures Caused By Severe Blows". Iran International. 19 September 2022. Archived from the original on 20 September 2022. Retrieved 20 September 2022.
- ↑ "Exclusive: Khamenei Doctor Sought To Forge Mahsa Amini's Records". 26 September 2022.
- ↑ "Three people killed in Iran protests over death of Mahsa Amini". The Guardian. 21 September 2022. Retrieved 29 September 2022.
- ↑ "Iran: Mahsa Amini's father accuses authorities of a cover-up". BBC News. 22 September 2022. Retrieved 8 October 2022.
- ↑ Ex-IRGC Officer Releases More Evidence About Mahsa Amini’s Murder, Iran International, 29 September 2022
- ↑ Former IRGC Commander: Forensics Report Says Mahsa Amini Died of Skull Injury, Iran Wire, 29 September 2022
- ↑ The disclosure of the former commander of the IRGC: the reason of Mahsa Amini's death was "injury to the skull"., Alarabia, 29 September 2022
- ↑ Iran protests: riot police clash with students at Sharif university, The Guardian, 3 October 2022
- ↑ Lawyer: Mahsa Amini’s family wants fact-finding committee to probe her death, Iran Front Page, 3 October 2022
- ↑ "Are hijab protests 'the beginning of the end' for Iran's regime?". The Guardian. 8 October 2022. Retrieved 21 October 2022.
- ↑ "Mahsa Amini's Family Lawyers Sue Authorities as Pressures Mount". iranwire.com. 11 October 2022. Retrieved 21 October 2022.
- ↑ "Amini died of blows to the head, family lawyer says - La Prensa Latina Media". 2 October 2022. Retrieved 21 October 2022.
- ↑ "Iranian coroner disputes that Mahsa Amini died of blows to head and limbs, as protests continue". Canadian Broadcasting Corporation. 7 October 2022.
- ↑ "Iranian Doctors Accuse Medical Officials Of Covering Up Cause Of Mahsa Amini's Death". RadioFreeEurope/RadioLiberty. 2022. Retrieved 21 October 2022.
- ↑ Neufeld, Dialika (8 December 2022). "An Iranian Icon: Who Was Jina Mahsa Amini?". Der Spiegel. Retrieved 30 December 2022.
- ↑ Leonhardt, David (26 September 2022). "Iran's Ferocious Dissent". The New York Times. Archived from the original on 27 September 2022. Retrieved 27 September 2022.
- ↑ Strzyżyńska, Weronika (16 September 2022). "Iranian woman dies 'after being beaten by morality police' over hijab law". The Guardian. Archived from the original on 20 September 2022. Retrieved 22 September 2022.
- ↑ Motamedi, Maziar. "Iran denies Mahsa Amini, woman who died in custody, was beaten". Al Jazeera. Archived from the original on 23 September 2022. Retrieved 24 September 2022.
- ↑ AP, AFP (20 September 2022). "Mahsa Amini: EU concern over woman who died after being stopped by morality police". Euronews. Archived from the original on 20 September 2022. Retrieved 21 September 2022.
- ↑ "Protests flare across Iran in violent unrest over woman's death". Reuters. 20 September 2022. Archived from the original on 27 September 2022. Retrieved 23 September 2022.
- ↑ Bonifacic, Igor (21 September 2022). "Iran restricts access to WhatsApp and Instagram in response to Mahsa Amini protests". Engadget. Archived from the original on 24 September 2022. Retrieved 22 September 2022.
- ↑ Strzyżyńska, Weronika (22 September 2022). "Iran blocks capital's internet access as Amini protests grow". The Guardian. Archived from the original on 25 September 2022. Retrieved 25 September 2022.
- 1 2 3 "Iran marchers call for execution of anti-government protesters". The Guardian. 23 September 2022. Archived from the original on 26 September 2022. Retrieved 26 September 2022.
- ↑ Motamedi, Maziar (3 October 2022). "Iran's Khamenei blames Israel, US in first comments on protests". Al Jazeera. Archived from the original on 3 October 2022. Retrieved 3 October 2022.
- ↑ Tisdall, Simon (8 October 2022). "Iran's brave young women must break their own chains. The west won't help". The Guardian. Retrieved 8 October 2022.
- ↑ "Payām Nevešte Šode Rūz Sang Bālā-ye Mazār-e Mahsā: To ne-mī-mīrī. Nām-at Yek Namād mī-šavad" پیام نوشته شده روی سنگ بالای مزار مهسا امینی: تو نمیمیری، نام تو یک نماد میشود [Message written on Mahsa Amini's Gravestone: "You Will Not Die, Your Name Will Become a Code"]. Iran International (in Persian). Archived from the original on 17 September 2022. Retrieved 23 September 2022.
- ↑ "Ḫāksepār-e Mahsā Amīnī bā Sarkub-e Mosallahāne-e Šahrvand-ān; "Žīnā Ǧān to ne-mī-mīrī, Nām-at Yek Namād Mī-šavad"" خاکسپاری مهسا امینی با سرکوب مسلحانه شهروندان؛ «ژینا جان تو نمیمیری، نامت یک نماد میشود» [Funeral of Mahsa Amini [met] with Armed Suppression of Citizens; "Beloved Žina, You Will Not Die. Your Name Will Become a Code"]. Kayhan London (in Persian). Archived from the original on 18 September 2022. Retrieved 23 September 2022.
- ↑ "Mahsa Amini: Women take headscarves off in protest at funeral". BBC News. 17 September 2022. Retrieved 13 October 2022.
- ↑ "Minnesotans gather to mourn Mahsa Amini, protest repression in Iran". Archived from the original on 23 September 2022. Retrieved 23 September 2022.
Zhina Amini, you will not die. Your name will be a symbol,
- ↑ "Iran Protests: at Least 185 Killed/19 Children Amongst Dead". Iran Human Rights. Retrieved 8 October 2022.
- ↑ "اعتراضات در ایران؛ شمار کشتهشدگان به دستکم ۱۰۰ تن رسید" اعتراضات در ایران؛ شمار کشتهشدگان به دستکم ۵۰ تن رسید [Protests in Iran; The Number of Those Killed has Risen to at least 50 people]. Iran Human Rights (in Persian). Archived from the original on 24 September 2022. Retrieved 23 September 2022.
- ↑ "Death toll grows in Iran as Mahsa Amini protests continue for 10th night". The Guardian. 26 September 2022. Archived from the original on 26 September 2022. Retrieved 26 September 2022.
- ↑ "76 deaths, 1,200 arrests in Iran response to protests". Raidió Teilifís Éireann. 26 September 2022. Archived from the original on 27 September 2022. Retrieved 27 September 2022.
- ↑ "Eʿterāżāt dar Irān; Afzāyeš-e Āmār-e Koštešodegān be biš az 30 Hamzamān bā Eḫtelāl dar Internet" اعتراضات در ایران؛ افزایش آمار کشتهشدگان به بیش از ۳۰ نفر همزمان با اختلال در اینترنت [Protests in Iran; The Number of Those Killed has Increased to over 30 People Simultaneously With Internet Blackout]. Iran Human Rights (in Persian). Archived from the original on 22 September 2022. Retrieved 22 September 2022.
- ↑ Strzyżyńska, Weronika (17 September 2022). "Protests in Iran at death of Kurdish woman after arrest by morality police". The Guardian. Archived from the original on 19 September 2022. Retrieved 17 September 2022.
- 1 2 Sirwan, Dilan (17 September 2022). "At least 10 demonstrators injured in Iran following death of Kurdish woman". Rudaw Media Network. Archived from the original on 17 September 2022. Retrieved 18 September 2022.
- 1 2 Strzyżyńska, Weronika (17 September 2022). "Protests in Iran at death of Kurdish woman after arrest by morality police". The Guardian. Archived from the original on 19 September 2022. Retrieved 17 September 2022.
- ↑ "the police open fire at the funeral". Italy 24 News English. 17 September 2022. Archived from the original on 24 September 2022. Retrieved 18 September 2022.
- ↑ "Fury grows in Iran over woman who died after hijab arrest". Reuters. 18 September 2022. Archived from the original on 19 September 2022. Retrieved 20 September 2022.
- ↑ "هشتگ مهسا امینی ترند جهانی شد – DW – ۱۴۰۱/۶/۲۷" (in Persian). Deutsche Welle. Archived from the original on 19 September 2022. Retrieved 20 September 2022.
- ↑ "Iran women cut their hair to protest against death of 22-year-old woman in custody". Indian Express Limited. 19 September 2022. Archived from the original on 19 September 2022. Retrieved 19 September 2022.
- ↑ "As unrest grows, Iran restricts access to Instagram, WhatsApp". Reuters. 21 September 2022. Archived from the original on 24 September 2022. Retrieved 22 September 2022.
- ↑ "Hashtag Against Death Of Hijab Victim Breaks Historic Record". Iran International. 23 September 2022. Archived from the original on 24 September 2022. Retrieved 24 September 2022.
- ↑ Serjoie, Kay Armin (24 September 2022). "The Protests in Iran Have Shaken the Islamic Republic to Its Core". Time.
- ↑ "The battle of narratives on Iran is being fought on social media". CNN. 5 October 2022.
- ↑ "مهسا امینی؛ شب دوم اعتراضات در سنندج و تماس رئیسی با خانواده امینی". BBC News فارسی (in Persian). Archived from the original on 19 September 2022. Retrieved 24 September 2022.
- ↑ "Iran's President Holds Phone Call With Family Of Hijab Victim". Iran International. 18 September 2022. Archived from the original on 20 September 2022. Retrieved 24 September 2022.
- ↑ "Iranians see widespread internet blackout amid mass protests". Journal-Courier. 21 September 2022. Archived from the original on 24 September 2022. Retrieved 22 September 2022.
- ↑ Yeung, Jessie; Karadsheh, Jomana; Mostaghim, Ramin; Akbarzai, Sahar (22 September 2022). "Iran protests rage as Mahsa Amini's father says authorities lied about her death". CNN. Archived from the original on 24 September 2022. Retrieved 22 September 2022.
- ↑ "Mahsa Amini: Raisi warns against 'acts of chaos', as US sanctions morality police". Middle East Eye. 22 September 2022. Archived from the original on 24 September 2022. Retrieved 23 September 2022.
- ↑ "Iran's supreme leader breaks silence on Mahsa Amini, blaming U.S. and Israel for violent protests". NBC News. 3 October 2022.
- ↑ "Iran president says Amini's death is 'tragic incident,' but 'chaos' unacceptable". 28 September 2022.
- ↑ "Iran's Raisi says Mahsa Amini's death has 'saddened' everyone".
- ↑ "Explained: How the killing of a 15-year-old Iraqi girl by US troops exposes the Western media's double standards". Firstpost. 23 September 2022. Retrieved 8 October 2022.
- ↑ Fassihi, Farnaz (20 September 2022). "Protests Erupt in Iranian Cities After Woman's Death in Custody". The New York Times. ISSN 0362-4331. Retrieved 30 September 2023.
- ↑ Vahdat, Ahmed (17 September 2022). "Senior ayatollahs say Iran's morality police are 'illegal and un-Islamic'". The Daily Telegraph. Archived from the original on 18 September 2022. Retrieved 18 September 2022.
- ↑ "Iran protests: Mahsa Amini's family receiving death threats, cousin says". BBC News. 10 October 2022. Retrieved 10 October 2022.
- ↑ "Iranian president orders probe of woman's death in custody". ABC News. Associated Press. Archived from the original on 17 September 2022. Retrieved 20 September 2022.
- ↑ Abbasi, Hyder (7 October 2022). "Mahsa Amini did not die from blows to body, Iranian coroner says amid widespread protests". NBC News. Retrieved 31 October 2022.
- ↑ "Iran woman's death after morals police arrest sparks protests". Reuters. 16 September 2022. Archived from the original on 17 September 2022. Retrieved 18 September 2022.
- ↑ "Mahsa Amini: Woman dies after arrest by Iran's morality police". Al Jazeera. 16 September 2022. Archived from the original on 17 September 2022. Retrieved 18 September 2022.
- ↑ "Condemnations Follow Death Of Young Woman in Iranian Police Custody". Iran International. Archived from the original on 17 September 2022. Retrieved 18 September 2022.
- ↑ "Woman Dies in Custody of Iran's 'Morality Police'". Human Rights Watch. 16 September 2022. Archived from the original on 18 September 2022. Retrieved 18 September 2022.
- ↑ "The Murder of Mahsa Amini; Iran Human Rights Calls for an International Fact-Finding Mission". iranhr.net. Archived from the original on 16 September 2022. Retrieved 18 September 2022.
- ↑ "Concern mounts at 'lethal' Iran crackdown on protests". France 24. Agence France-Presse. 20 September 2022. Archived from the original on 20 September 2022. Retrieved 21 September 2022.
- ↑ "Mahsa Amini is Another Victim of the Islamic Republic's War on Women". Center for Human Rights in Iran. 16 September 2022. Archived from the original on 18 September 2022. Retrieved 18 September 2022.
- ↑ Ashworth, Lillie (28 September 2022). "At UN, Humanists International calls for justice following murder of Mahsa Amini". Humanists International. Retrieved 28 September 2022.
- 1 2 "Mahsa Amini: UN calls for inquiry into Iranian woman's death". Al Jazeera. 20 September 2022. Archived from the original on 24 September 2022. Retrieved 24 September 2022.
- ↑ "Iran: UN calls for probe into death of Mahsa Amini in police custody". Deutsche Welle. 20 September 2022. Archived from the original on 24 September 2022. Retrieved 24 September 2022.
- ↑ "Iran: UN experts demand accountability for death of Mahsa Amini, call for end to violence against women". OHCHR. 22 September 2022. Archived from the original on 24 September 2022. Retrieved 23 September 2022.
- ↑ "سەرۆک بارزانی سەرەخۆشی لە خانەوادەی ژینا ئەمینی كرد". Kurdistan 24. 19 September 2022. Archived from the original on 24 September 2022. Retrieved 24 September 2022.
- ↑ Chablani, Nitya (21 September 2022). "Bella Hadid, Golshifteh Farahani and More React to the Brutal Death of 22-Year-Old Iranian Mahsa Amini". Vogue Arabia. Archived from the original on 24 September 2022. Retrieved 24 September 2022.
- ↑ "Mahsa Amini's mother: Zhina! People have come for you!". National Council of Resistance of Iran. 17 September 2022. Archived from the original on 18 September 2022. Retrieved 18 September 2022.
- ↑ "France's Ministry of Foreign Affairs condemns the death of Mahsa Amini". Reuters. 19 September 2022. Archived from the original on 19 September 2022. Retrieved 24 September 2022.
- ↑ "US Officials React To Death Of Young Woman, Protests in Iran". Iran International. Archived from the original on 20 September 2022. Retrieved 24 September 2022.
- ↑ "US demands accountability in death of Iranian woman after hijab arrest". Reuters. 19 September 2022. Archived from the original on 19 September 2022. Retrieved 24 September 2022.
- ↑ Vahdat, Ahmed (17 September 2022). "Senior ayatollahs say Iran's morality police are 'illegal and un-Islamic'". The Daily Telegraph. Archived from the original on 18 September 2022. Retrieved 18 September 2022.
- ↑ Mirmohammadsadeghi, Farhad (21 September 2022). "از وزیرخارجه آلمان تا رئیس جمهور شیلی؛ "احترام به حقوق زنان" در قلب واکنشها به جانباختن مهسا امینی". Euronews (in Persian). Archived from the original on 24 September 2022. Retrieved 24 September 2022.
- ↑ "Kurdish politicians jailed in Turkey shave heads, protesting death of Kurdish woman in Iran". rudaw.net. Retrieved 6 October 2022.
- 1 2 "Mahsa Amini: EU concern over woman who died after being stopped by morality police". Euronews. 20 September 2022. Archived from the original on 20 September 2022. Retrieved 21 September 2022.
- ↑ "Iran: Statement by the Spokesperson on the death of Mahsa Amini" (Press release). European External Action Service. 19 September 2022. Archived from the original on 19 September 2022. Retrieved 25 September 2022.
- ↑ "Joe Biden Vows Solidarity With Iran Women Amid 'Anti-Hijab' Protests". NDTV. Agence France-Presse. 21 September 2022. Archived from the original on 24 September 2022. Retrieved 24 September 2022.
- ↑ Wilgenburg, Wladimir van (17 September 2022). "US Iran Envoy calls for accountability for death of Mahsa Amini". Kurdistan 24. Archived from the original on 19 September 2022. Retrieved 25 September 2022.
- ↑ "Iran: German government condemns Mahsa Amini's death". Deutsche Welle. 23 September 2022. Retrieved 23 September 2022.
- ↑ "12 women foreign ministers condemn Iran's crackdown". France 24. 26 October 2022. Retrieved 26 October 2022.
- ↑ "Despite Censorship, Top Athletes Join Outcry Over Mahsa Amini's Death". iranwire.com. Archived from the original on 24 September 2022. Retrieved 23 September 2022.
- ↑ Chablani, Nitya (21 September 2022). "Bella Hadid, Golshifteh Farahani and More React to the Brutal Death of 22-Year-Old Iranian Mahsa Amini". Vogue Arabia. Archived from the original on 24 September 2022. Retrieved 23 September 2022.
- ↑ فردا, رادیو (16 September 2022). "مهسا امینی؛ واکنش گسترده در شبکههای اجتماعی به ارشادِ منتهی به مرگ مغزی". Radio Farda (in Persian). Archived from the original on 16 September 2022. Retrieved 24 September 2022.
- ↑ Sinaee, Maryam (16 September 2022). "Iranian Social Media Explodes Over Young Hijab Victim". Iran International. Archived from the original on 18 September 2022. Retrieved 25 September 2022.
- ↑ "موج گسترده حمایت چهرههای داخلی و جهانی از اعتراضات ایران و ادای احترام به مهسا امینی". Iran International (in Persian). Archived from the original on 24 September 2022. Retrieved 24 September 2022.
- ↑ "Shaparak Khorsandi condemns killing of Iranian woman over hijab law". Humanists UK. 21 September 2022. Retrieved 29 September 2022.
- ↑ "واکنش بازیگر هالیوود به قتل مهسا امینی: چرا جهان ساکت است؟". IranWire (in Persian). Archived from the original on 18 September 2022. Retrieved 25 September 2022.
- ↑ "Mahsa Amini kimdir, kaç yaşında, neden öldü? Son dakika İran haberleri…". Habertos (in Turkish). 21 September 2022. Archived from the original on 24 September 2022. Retrieved 25 September 2022.
- ↑ "واکنش بازیگر ترک در حمایت از مهسا امینی". Vaghtesobh (in Persian). 19 September 2022. Archived from the original on 24 September 2022. Retrieved 25 September 2022.
- ↑ Motamedi, Maziar (21 September 2022). "'Anonymous' hacks Iran state websites after Mahsa Amini's death". Al Jazeera. Archived from the original on 24 September 2022. Retrieved 21 September 2022.
- ↑ Paust, Thomas (13 June 2023). "Denne bilen er tildekket av kvinnehår: – Mullaene skjelver". Nettavisen (in Norwegian). Retrieved 3 August 2023.
- ↑ Dow, Steve (7 September 2023). "Hoda Afshar: A Curve is a Broken Line". The Monthly. Retrieved 8 September 2023.
- ↑ "EU imposes sanctions on Iran's morality police and officials". Al Jazeera. October 2022. Retrieved 21 October 2022.
External links
- Mahsa Amini: how one woman’s death ignited protests in Iran (The Guardian podcast, 29 September 2022)
