Erdheim–Chester disease
Other namesErdheim–Chester syndrome or Polyostotic sclerosing histiocytosis
Chester-Erdheim disease
SpecialtyOncology Edit this on Wikidata

Erdheim–Chester disease (ECD) is an extremely rare disease characterized by the abnormal multiplication of a specific type of white blood cells called histiocytes, or tissue macrophages (technically, this disease is termed a non-Langerhans-cell histiocytosis). It was declared a histiocytic neoplasm by the World Health Organization in 2016.[1] Onset typically is in middle age, although younger patients have been documented. The disease involves an infiltration of lipid-laden macrophages, multinucleated giant cells, an inflammatory infiltrate of lymphocytes and histiocytes in the bone marrow, and a generalized sclerosis of the long bones.[2]

Signs and symptoms

Long bone involvement is almost universal in ECD patients and is bilateral and symmetrical in nature. More than 50% of cases have some sort of extraskeletal involvement. This can include kidney, skin, brain and lung involvement, and less frequently retroorbital tissue, pituitary gland and heart involvement is observed.[3]

Bone pain is the most frequent of all symptoms associated with ECD and mainly affects the lower limbs, knees and ankles. The pain is often described as mild but permanent, and juxtaarticular in nature. Exophthalmos occurs in some patients and is usually bilateral, symmetric and painless, and in most cases it occurs several years before the final diagnosis. Recurrent pericardial effusion can be a manifestation,[4] as can morphological changes in adrenal size and infiltration.[5]

A review of 59 case studies by Veyssier-Belot et al. in 1996 reported the following symptoms in order of frequency of occurrence:[6]

Diagnosis

Radiologic osteosclerosis and histology are the main diagnostic features. Diagnosis can often be difficult because of the rareness of ECD as well as the need to differentiate it from LCH. A diagnosis from neurological imaging may not be definitive. The presence of symmetrical cerebellar and pontine signal changes on T2-weighted images seem to be typical of ECD, however, multiple sclerosis and metabolic diseases must also be considered in the differential diagnosis.[7] ECD is not a common cause of exophthalmos but can be diagnosed by biopsy. However, like all biopsies, this may be inconclusive.[8] Video-assisted thoracoscopic surgery may be used for diagnostic confirmation and also for therapeutic relief of recurrent pericardial fluid drainage.[9]

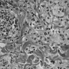
Histology

Histologically, ECD differs from Langerhans cell histiocytosis (LCH) in a number of ways. Unlike LCH, ECD does not stain positive for S-100 proteins or Group 1 CD1a glycoproteins, and electron microscopy of cell cytoplasm does not disclose Birbeck granules.[6] Tissue samples show xanthomatous or xanthogranulomatous infiltration by lipid-laden or foamy histiocytes, and are usually surrounded by fibrosis. Bone biopsy is said to offer the greatest likelihood of reaching a diagnosis. It would appear that approximately half these patients harbor point mutations of the BRAF gene at codon 600 substituting the amino acid glutamine for valine. In some, there is histiocyte proliferation, and on staining, the section is CD68+ and CD1a-.

Treatment

There are two FDA-approved targeted drugs to treat ECD.

  • Vemurafenib, an oral agent approved in 2019, targets the BRAF protein. It was approved after showing dramatic efficacy in ECD patients harboring the BRAF V600E mutation.[10][11]
  • Cobimetinib, an oral inhibitor of MEK1 and MEK2, was approved in November 2022.[12]

Other treatment options include:

Prognosis

Erdheim–Chester disease was previously associated with high mortality rates.[14] However, long-term survival is now more promising. Recent studies have reported that some patients receiving targeted therapies showed no disease progression. Targeted therapies using BRAF, MEK and/or other inhibitors have been dramatically efficacious.[10][13][15][16] In 2019, the Mayo Clinic published guidelines for the diagnosis and treatment of the disease, stressing the importance of genetic testing: "Recent insights into their genomic architecture demonstrating mitogen-activated protein kinase/extracellular signal-regulated kinase pathway mutations have now enabled potential treatment with targeted therapies in most patients."[17]

Epidemiology

Approximately 500 cases had been reported in the literature as of 2014.[18] ECD affects predominantly adults, with a mean age of 53 years.[6]

History

The first case of ECD was reported by the American pathologist William Chester in 1930, during his visit to the Austrian pathologist Jakob Erdheim in Vienna.[19]

Society and culture

The Erdheim–Chester Disease Global Alliance is a support and advocacy group with the goal of raising awareness of and promoting research into ECD.[20][21] ECD families and patients are also supported by the Histiocytosis Association, Inc.[21][22]

Media

In the TV show House, season 2 episode 17, "All In", the final diagnosis of a 6-year-old boy who presents with bloody diarrhea and ataxia is Erdheim–Chester disease.[23]

References

  1. "Erdheim-Chester Disease Declared a Histiocytic Neoplasm" (PDF). 18 May 2016. Retrieved 2018-07-18 via erdheim-chester.org.
  2. "Erdheim–Chester disease". Medical Subject Headings. United States National Library of Medicine. 8 July 2008. Retrieved 19 June 2008.
  3. "Erdheim-Chester Disease". Histiocytosis Association. Retrieved 2017-12-21.
  4. Lutz SZ, Schmalzing M, Vogel-Claussen J, Adam P, May AE (September 2011). "[Recurrent pericardial effusion as first manifestation of Erdheim-Chester disease]" [Recurrent pericardial effusion as first manifestation of Erdheim-Chester disease]. Deutsche Medizinische Wochenschrift (in German). 136 (39): 1952–1956. doi:10.1055/s-0031-1286368. PMID 21935854.
  5. Haroche J, Amoura Z, Touraine P, Seilhean D, Graef C, Birmelé B, et al. (June 2007). "Bilateral adrenal infiltration in Erdheim-Chester disease. Report of seven cases and literature review". The Journal of Clinical Endocrinology and Metabolism. 92 (6): 2007–2012. doi:10.1210/jc.2006-2018. PMID 17405844.
  6. 1 2 3 Veyssier-Belot C, Cacoub P, Caparros-Lefebvre D, Wechsler J, Brun B, Remy M, et al. (May 1996). "Erdheim-Chester disease. Clinical and radiologic characteristics of 59 cases". Medicine. 75 (3): 157–169. doi:10.1097/00005792-199605000-00005. PMID 8965684. S2CID 32150913.
  7. Weidauer S, von Stuckrad-Barre S, Dettmann E, Zanella FE, Lanfermann H (April 2003). "Cerebral Erdheim-Chester disease: case report and review of the literature". Neuroradiology. 45 (4): 241–245. doi:10.1007/s00234-003-0950-z. PMID 12687308. S2CID 9513277.
  8. 1 2 "Erdheim Chester Disease". M. D. Anderson Cancer Center. Retrieved 2007-08-26.
  9. Egan A, Sorajja D, Jaroszewski D, Mookadam F (2012). "Erdheim-Chester disease: The role of video-assisted thoracoscopic surgery in diagnosing and treating cardiac involvement". International Journal of Surgery Case Reports. 3 (3): 107–110. doi:10.1016/j.ijscr.2011.12.001. PMC 3267285. PMID 22288060.
  10. 1 2 Haroche J, Cohen-Aubart F, Emile JF, Arnaud L, Maksud P, Charlotte F, et al. (February 2013). "Dramatic efficacy of vemurafenib in both multisystemic and refractory Erdheim-Chester disease and Langerhans cell histiocytosis harboring the BRAF V600E mutation". Blood. 121 (9): 1495–1500. doi:10.1182/blood-2012-07-446286. PMID 23258922.
  11. "FDA Approves First Treatment for Erdheim-Chester Disease". Pharmacy Practice News. 6 November 2017.
  12. Rosa K (2 November 2022). "FDA Approves Cobimetinib for Histiocytic Neoplasms". OncLive. Retrieved 2022-11-19.
  13. 1 2 Abeykoon JP, Lasho TL, Dasari S, Rech KL, Ranatunga WK, Manske MK, et al. (March 2022). "Sustained, complete response to pexidartinib in a patient with CSF1R-mutated Erdheim-Chester disease". American Journal of Hematology. 97 (3): 293–302. doi:10.1002/ajh.26441. PMC 9536810. PMID 34978715.
  14. Myra C, Sloper L, Tighe PJ, McIntosh RS, Stevens SE, Gregson RH, et al. (June 2004). "Treatment of Erdheim-Chester disease with cladribine: a rational approach". The British Journal of Ophthalmology. 88 (6): 844–847. doi:10.1136/bjo.2003.035584. PMC 1772168. PMID 15148234.
  15. Aziz SN, Proano L, Cruz C, Tenemaza MG, Monteros G, Hassen G, et al. (June 2022). "Vemurafenib in the Treatment of Erdheim Chester Disease: A Systematic Review". Cureus. 14 (6): e25935. doi:10.7759/cureus.25935. PMC 9282605. PMID 35844342.
  16. The ASCO Post Staff (2 November 2022). "FDA Approves Oral MEK Inhibitor Cobimetinib for Histiocytic Neoplasms". The ASCO Post. Retrieved 2022-11-19.
  17. Goyal G, Young JR, Koster MJ, Tobin WO, Vassallo R, Ryu JH, et al. (October 2019). "The Mayo Clinic Histiocytosis Working Group Consensus Statement for the Diagnosis and Evaluation of Adult Patients With Histiocytic Neoplasms: Erdheim-Chester Disease, Langerhans Cell Histiocytosis, and Rosai-Dorfman Disease". Mayo Clinic Proceedings. 94 (10): 2054–2071. doi:10.1016/j.mayocp.2019.02.023. PMID 31472931. S2CID 201713697.
  18. Haroche J, Arnaud L, Cohen-Aubart F, Hervier B, Charlotte F, Emile JF, Amoura Z (April 2014). "Erdheim-Chester disease". Current Rheumatology Reports. 16 (4): 412. doi:10.1007/s11926-014-0412-0. PMID 24532298.
  19. Chester W (1930). "Über Lipoidgranulomatose". Virchows Archiv für Pathologische Anatomie und Physiologie und für Klinische Medizin. 279 (2): 561–602. doi:10.1007/BF01942684. S2CID 27359311.
  20. "Erdheim–Chester Disease". ECD Global Alliance. Retrieved 2009-05-08.
  21. 1 2 "Erdheim Chester disease". NORD (National Organization for Rare Disorders). Retrieved 2016-03-01.
  22. "What Do I Do Now? - Erdheim-Chester Disease". Histiocytosis Association. Retrieved 2016-03-01.
  23. "Internet Movie Database". IMDB. Retrieved 27 October 2021.

Further reading

This article is issued from Wikipedia. The text is licensed under Creative Commons - Attribution - Sharealike. Additional terms may apply for the media files.