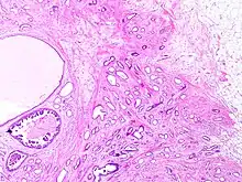
Histopathology of tubular carcinoma, low magnification, H&E stain. It shows the typical features of invasive breast cancer with infiltrative growth pattern, here including invasion into adipose tissue and with an associated fibrous or desmoplastic stromal response. It has the criterion of more than 90% of the tumor composed of small, ovoid or angulated tubules with open lumina. Ductal carcinoma in situ is seen at left as lumina with micropapillary formations (under the larger bland cyst), and was presumably the precursor lesion for the ductal carcinoma.[1]
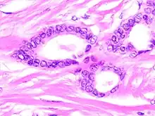
Histopathology of tubular carcinoma, high magnification, H&E stain. It shows the typical features of tubules lined by a single layer of cuboidal to columnar epithelial cells with small to intermediate sized nuclei low grade nuclei and sparse mitoses (grade 1).[1]

Tubular carcinoma is a subtype of invasive ductal carcinoma of the breast.[2][3] More rarely, tubular carcinomas may arise in the pancreas[4] or kidney.[5] Most tubular carcinomas begin in the milk duct of the breast and spread to healthy tissue around it.[6][7]

Pathology

Although tubular carcinoma has been considered a special-type tumor,[lower-alpha 1] recent trend has been to classify it as a low-grade, invasive NOS carcinoma because there is a continuous spectrum from pure tubular carcinomas to mixed NOS[lower-alpha 2] carcinomas with tubular features, depending on the percentage of the lesion that displays tubular features.[10]:647

Histology

Tubular carcinomas are generally around 1 cm. or smaller, and are made up of tubules. They are usually low-grade.[2] Elastosis has been noted as common but is not present in all cases.[11]

Prevalence

Prevalence has previously been controversial, with contradictory reports from studies reporting either very low prevalence, or a high prevalence.[10] With the increasing availability of screening mammography, however, tubular carcinomas are being diagnosed earlier, and more recent studies suggest tubular carcinomas represent between 8% and 27% of all breast cancers.[2]

Prognosis

Tubular carcinoma is one of the histologic types of breast cancer with a more favorable outcome.[12]

See also

Notes and references

Notes
  1. Special-type tumor: such as mucinous and cribriform carcinomas.[8]
  2. NOS: of type "Not Otherwise Specified".[9]
References
  1. 1 2 Image by Mikael Häggström, MD. Reference for typical features: Pragya Virendrakumar Jain, M.D., Julie M. Jorns, M.D. "Breast - Other invasive carcinoma subtypes, WHO classified - Tubular". Pathology Outlines.{{cite web}}: CS1 maint: multiple names: authors list (link) Last author update: 23 March 2023
  2. 1 2 3 Hudis, Kenneth (22 June 2019). "IDC Type: Tubular Carcinoma of the Breast". Breastcancer.org. Retrieved 26 February 2022.
  3. Limaiem, Faten; Mlika, Mouna (2022). "Tubular Breast Carcinoma". StatPearls. StatPearls Publishing. PMID 31194380. Retrieved 3 March 2022.
  4. Chelliah, Adeline; Kalimuthu, Sangeetha; Chetty, Runjan (October 2016). "Intraductal tubular neoplasms of the pancreas: an overview". Ann Diagn Pathol. 24 (24:68–72): 68–72. doi:10.1016/j.anndiagpath.2016.04.009. PMID 27185640.
  5. Zhao, Ming; He, Xiang-lei; Teng, Xiao-dong (December 2015). "Mucinous tubular and spindle cell renal cell carcinoma: a review of clinicopathologic aspects". Diagnostic Pathology. 10 (1): 168. doi:10.1186/s13000-015-0402-1. PMC 4573286. PMID 26377921.
  6. Musser, Robert (2009). The P.I.N.K. Primer. Dog Ear Publishing. pp. 20–. ISBN 978-1-60844-176-1.
  7. Feng, Yixiao; Spezia, Mia; Huang, Shifeng; Yuan, Chengfu; Zeng, Zongyue; Zhang, Linghuan; Ji, Xiaojuan; Liu, Wei; Huang, Bo; Luo, Wenping; Liu, Bo; Lei, Yan; Du, Scott; Vuppalapati, Akhila; Luu, Hue H.; Haydon, Rex C.; He, Tong-Chuan; Ren, Guosheng (June 2018). "Breast cancer development and progression: Risk factors, cancer stem cells, signaling pathways, genomics, and molecular pathogenesis". Genes & Diseases. 5 (2): 77–106. doi:10.1016/j.gendis.2018.05.001. PMC 6147049. PMID 30258937.
  8. "Understanding Your Pathology Report: Breast Cancer", Cancer.org, American Cancer Society, 2022, retrieved 26 February 2022
  9. "Farlex Partner Medical Dictionary". 2009. not otherwise specified. Retrieved 26 February 2022.
  10. 1 2 Stavros, A. Thomas (2004). Rapp, Cynthia L.; Parker, Steve H. (eds.). Breast Ultrasound. Lippincott Williams & Wilkins. pp. 647–649. ISBN 978-0-397-51624-7. OCLC 1065689596. p. 649: A highly differentiated invasive carcinoma that forms well-defined tubules (containing epithelium, but no myoepithelium) and that have abundant desmoplastic fibrous stromal reaction between the tubules.
  11. Rosen, Paul Peter, ed. (2001). Rosen's Breast Pathology. Lippincott Williams & Wilkins. pp. 373–. ISBN 978-0-7817-2379-4. OCLC 1117861419.
  12. "Breast Cancer Treatment (Adult) (PDQ®)–Health Professional Version". National Cancer Institute. 20 January 2022. Retrieved 26 February 2022.
  13. Demir S, Sezgin G, Sari AA, Kucukzeybek BB, Yigit S, Etit D, Yazici A, Kucukzeybek Y (October 2021). "Clinicopathological analysis of invasive cribriform carcinoma of the breast, with review of the literature". Annals of Diagnostic Pathology. 54: 151794. doi:10.1016/j.anndiagpath.2021.151794. PMID 34325338.

Further reading


This article is issued from Wikipedia. The text is licensed under Creative Commons - Attribution - Sharealike. Additional terms may apply for the media files.